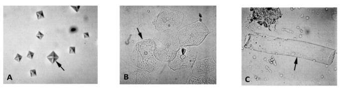
A urinálise fornece informações valiosas sobre o funcionamento do sistema urinário, sendo essencial sua realização no diagnóstico de muitas enfermidades. É composta por três exames: físico, químico e análise de sedimento. Considere as imagens abaixo, obtidas do sedimento urinário de um cão.

As figuras A, B e C representam, respectivamente,