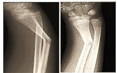
J.P.L., 5 anos, masculino, acompanhado pela mãe, dirigiu-se a um Centro de Reabilitação local para
tratamento de fratura. A imagem radiológica portada pela mãe está apresentada abaixo.

(Disponível em: https://th.bing.com/th/id/OIP.b1435X14h4meBDH0FQUgHAAAAA?rs=1&pid=ImgDetMain. Acesso em: 20/02/2024)
Após avaliação cinético funcional seguida de exames complementares, conclui-se tratar-se de

(Disponível em: https://th.bing.com/th/id/OIP.b1435X14h4meBDH0FQUgHAAAAA?rs=1&pid=ImgDetMain. Acesso em: 20/02/2024)
Após avaliação cinético funcional seguida de exames complementares, conclui-se tratar-se de