Magna Concursos
323575 Ano: 2019
Disciplina: Medicina
Banca: QUADRIX
Orgão: FHGV-RS
Provas:
Texto para a questão.
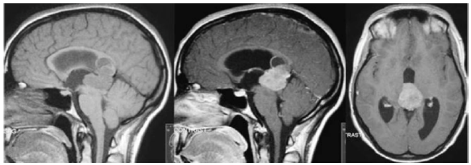
Um paciente de 28 anos de idade, previamente hígido, queixa-se de cefaleia de intensidade progressiva há duas semanas, associada a vômitos e à turvação visual. Ao exame físico, observa-se sonolência e desorientação, bem como papiledema à fundoscopia, paresia do olhar conjugado para cima e nistagmo em convergência. Traz consigo a ressonância magnética de crânio mostrada a seguir, que foi realizada após pedido de médico no posto de saúde.
enunciado 323575-1
O diagnóstico mais provável para esse caso hipotético é o de
 

Provas

Questão presente nas seguintes provas

Médico - Neurocirurgia

40 Questões