Texto para a questão.
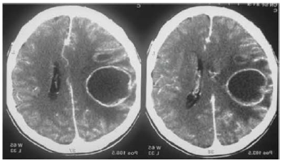
Um paciente de 32 anos de idade deu entrada no pronto-socorro com quadro de tosse e dor torácica de padrão pleural há cerca de um mês. Seu acompanhante refere que, há cinco dias, ele evoluiu com febre associada à cefaleia e, hoje, iniciou sonolência, afasia e hemiplegia à direita. O plantonista solicitou exames laboratoriais gerais, bem como tomografia computadorizada de crânio sem e com contraste. Após o resultado do exame de imagem mostrado a seguir, solicitou avaliação da neurocirurgia.

Mário G. Siqueira. Tratado de neurocirurgia. 1.ª ed. 2016.