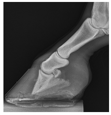
Caso Clínico: Égua Mangalarga Marchador, de 8 anos, com claudicação Grau V nos membros torácicos, sem conseguir retirar o membro direito do solo, com sensibilidade exacerbada na sola. O quadro surgiu após prova de vaquejada há cerca de 4 meses. No raio-X, a imagem do membro torácico esquerdo evidenciou laminite crônica (rotação de falange distal maior que 15º), conforme imagem abaixo.

Dadas as afirmativas sobre esse caso,
I. Uma das alternativas terapêuticas é a tenotomia do flexor digital superficial.
II. Rotações de falange distal entre 15 a 20º, se bem cuidadas, têm prognóstico bom e retorno do equino à carreira atlética.
III. Se houver perfuração de sola, uma das alternativas para combater a osteomielite é o fresamento da terceira falange.
verifica-se que está(ão) correta(s) apenas

Dadas as afirmativas sobre esse caso,
I. Uma das alternativas terapêuticas é a tenotomia do flexor digital superficial.
II. Rotações de falange distal entre 15 a 20º, se bem cuidadas, têm prognóstico bom e retorno do equino à carreira atlética.
III. Se houver perfuração de sola, uma das alternativas para combater a osteomielite é o fresamento da terceira falange.
verifica-se que está(ão) correta(s) apenas
Provas
Questão presente nas seguintes provas