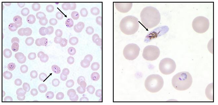
As imagens abaixo representam dois campos observados pelo analista clínico durante seu dia a dia, na
bancada de hematologia. 
Figura 1 e 2. Fonte: https://www.cdc.gov/dpdx/malaria/index.html
As setas apontam para estruturas morfológicas características (trofozoítos em forma de anel e gametócito) do parasita

Figura 1 e 2. Fonte: https://www.cdc.gov/dpdx/malaria/index.html
As setas apontam para estruturas morfológicas características (trofozoítos em forma de anel e gametócito) do parasita