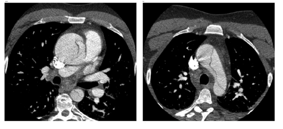
Foi admitido na UTI um paciente masculino de 53 anos devido à dor torácica de forte
intensidade, dispneia, palidez e sudorese. O paciente tinha história prévia de hipertensão
arterial sistêmica com uso irregular da medicação e tabagismo ativo. Dentre os exames
iniciais, foi realizada uma tomografia de tórax, conforme a seguinte figura. Sobre o caso
clínico, é correto afirmar que

