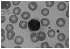
Analise o texto e a imagem a seguir, obtida em extensão corada e com auxílio de microscópio.
“Uma célula pequena de alta relação núcleo/citoplasma, núcleo redondo com cromatina condensada em grandes blocos, citoplasma escasso e basofílico”.

Trata-se de