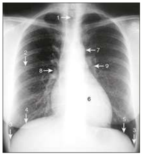
Observe a radiografia de tórax e associe os números
indicados na imagem às estruturas anatômicas listadas:
OLIVEIRA, Rafael Carvalho Rezende. Fisioterapia respiratória. 3. ed.
Rio de Janeiro: Guanabara Koogan, 2022. il.
(__)Hemidiafragma direito
(__)Hilo esquerdo
(__)Arco aórtico
(__)Traqueia
(__)Ângulo costofrênico
Assinale a alternativa que apresenta a sequência correta:
OLIVEIRA, Rafael Carvalho Rezende. Fisioterapia respiratória. 3. ed.
Rio de Janeiro: Guanabara Koogan, 2022. il. (__)Hemidiafragma direito
(__)Hilo esquerdo
(__)Arco aórtico
(__)Traqueia
(__)Ângulo costofrênico
Assinale a alternativa que apresenta a sequência correta: