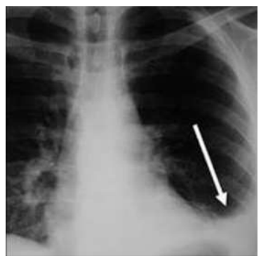
No raio X abaixo, verificamos opacificação do seio costofrênico esquerdo desenhando uma curva com a forma de uma parábola com a concavidade voltada para cima (seta). O nome deste sinal (curva) e o provável diagnóstico, respectivamente, são

No raio X abaixo, verificamos opacificação do seio costofrênico esquerdo desenhando uma curva com a forma de uma parábola com a concavidade voltada para cima (seta). O nome deste sinal (curva) e o provável diagnóstico, respectivamente, são
