Observe a imagem a seguir de um esfregaço de sangue total.

Como são chamadas as estruturas apontadas pelas setas e que indicam aumento das proteínas plasmáticas?
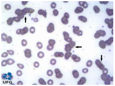
Observe a imagem a seguir de um esfregaço de sangue total.

Como são chamadas as estruturas apontadas pelas setas e que indicam aumento das proteínas plasmáticas?