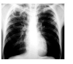
Homem de 65 anos com queixas de tosse produtiva há cerca
de 3 semanas, febre vespertina, sudorese noturna e perda
de peso. Ao exame físico, apresenta estado geral regular,
emagrecido, sem alterações na ausculta pulmonar. O RX
solicitado apresenta a imagem ao lado:

O diagnóstico provável nesse caso é

O diagnóstico provável nesse caso é