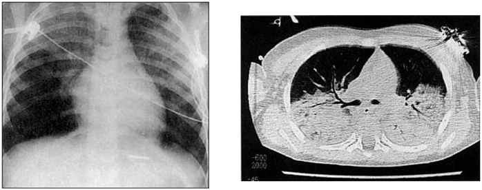
Paciente vítima de atropelamento, sexo masculino, 45 anos, altura 1,85 m, peso 80 Kg, após 3 dias na UTI, em IOT sob VM Modo Pressão Suporte com SatO2 = 88%, Pressão suporte (PS) = 25 cmH2O, FiO2 = 50%, Peep = 5 cmH2O, Volume corrente (VC) = 650 mL com hipoxemia de PaO2 = 57 mmHg, apresentou os seguintes exames de imagem, sendo descartada causa cardíaca.

(Arquivo pessoal; imagens usadas com autorização)
Qual a medida ventilatória inicial recomendada para esse paciente?
Provas
Questão presente nas seguintes provas