Magna Concursos
668122 Ano: 2016
Disciplina: Biomedicina
Banca: IDECAN
Orgão: UFPB

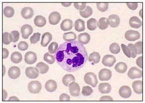
Ao realizar uma hemoscopia, a seguinte célula imunológica aparece no campo:

enunciado 668122-1

É correto afirmar que essa célula é um:

 

Provas

Questão presente nas seguintes provas

Técnico em Análises Clínicas

50 Questões