2889338
Ano: 2023
Disciplina: Fisioterapia
Banca: Avança SP
Orgão: Pref. São Lourenço Serra-SP
Disciplina: Fisioterapia
Banca: Avança SP
Orgão: Pref. São Lourenço Serra-SP
Provas:
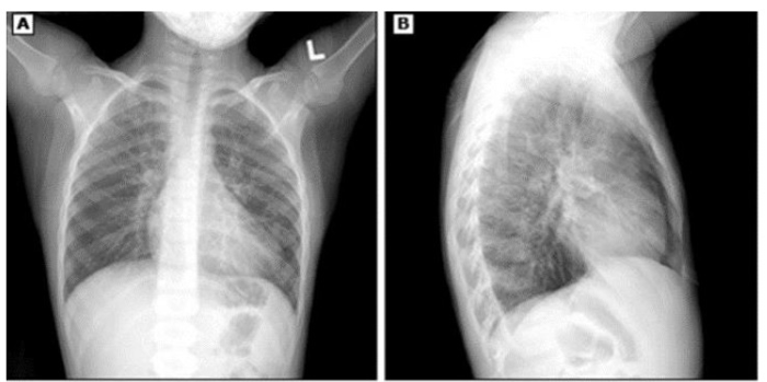
A radiografia de tórax PA e perfil são indicados para todos os pacientes que apresentam suspeita de
Pneumonia Adquirida na Comunidade (PAC) além de auxiliar no diagnóstico ajuda a identificar a
presença de outras complicações relacionadas à patologia de base.

Fonte: Uptodate: Overview of community-acquired pneumonia in adults, 2022.
A imagem abaixo reflete como principal achado:

Fonte: Uptodate: Overview of community-acquired pneumonia in adults, 2022.
A imagem abaixo reflete como principal achado: