Observe a projeção radiográfica para fratura tibial superior, a seguir:

Disponível em:
https://www.scielo.br/scielo.php?script=sci_arttext&pid=S0102- 36162009000600002. Acesso em: 20 de agosto de 2021.
É CORRETO afirmar que é uma tomada em:
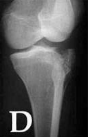
Observe a projeção radiográfica para fratura tibial superior, a seguir:

Disponível em:
https://www.scielo.br/scielo.php?script=sci_arttext&pid=S0102- 36162009000600002. Acesso em: 20 de agosto de 2021.
É CORRETO afirmar que é uma tomada em: