O ecocardiograma à beira leito (ECO) pode ser muito útil na sala de emergência, durante a parada cardiorrespiratória (PCR) ou na fase da perirressuscitação, sendo que o uso do ECO na avaliação inicial de pacientes com hipotensão aumenta o potencial e a rapidez de percepção entre possíveis diagnósticos diferenciais, podendo auxiliar na escolha terapêutica mais adequada e, assim, resultar em melhores resultados. O ECO já é considerado classe I para avaliação de pacientes que desenvolvem ou persistem com instabilidade hemodinâmica, e o último guideline da American Heart Association colocou o ECO como classe IIb, para avaliação inicial dos pacientes com PCR.
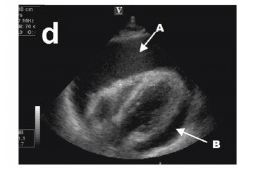
A figura a seguir representa qual provável etiologia para justificar uma PCR?
