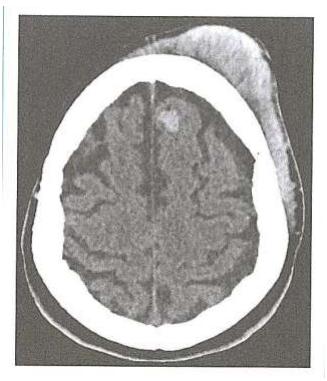
Paciente sexo masculino, 38 anos, deu entrada no PA de um hospital local, vítima de atropelamento ao tentar
atravessar uma movimentada avenida fora da faixa de pedestre. Apresenta-se agitado, com diversas
escoriações pelo corpo e corte extenso na região frontal à direita. Realizados os procedimentos de rotina, foi
solicitado TC de crânio. 
Após a análise da imagem, confirma-se que se trata de um hematoma

Após a análise da imagem, confirma-se que se trata de um hematoma
Provas
Questão presente nas seguintes provas