O enfisema é uma doença caracterizada pelo excesso de ar
na região pulmonar, estado que é consequência de um complexo
processo obstrutivo e destrutivo dos alvéolos e dos bronquíolos
terminais (ácino pulmonar) que acarreta a perda da elasticidade
pulmonar. Nos alvéolos, ocorre uma hiperdistensão com
dilatação excessiva, o que gera uma ruptura dos septos
alveolares. A distribuição e a abrangência da lesão variam em
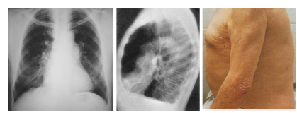
cada caso. A seguinte imagem radiológica é típica de paciente
enfisematoso.

Com relação a esse assunto, julgue os item subsequente.
O enfisema é uma doença que altera a parede alveolar, porém não altera a ventilação pulmonar.