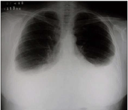
Paciente com diagnóstico prévio de Insuficiência Cardíaca Congestiva, internado no Pronto Atendimento de um Hospital público, queixa-se de piora do quadro nas últimas 12 horas. Apresenta dispneia, esforço respiratório, desconforto torácico, murmúrio vesicular abolido nas porções inferiores dos pulmões, FTV abolido com macicez a percussão. Realizado Rx de tórax mostrado na figura abaixo.

O quadro clínico e radiológico sugerem qual provável evolução da Insuficiência Cardíaca?