Magna Concursos
1517163 Ano: 2019
Disciplina: Medicina
Banca: UFPR
Orgão: HC-UFPR

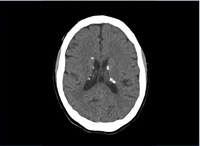
Menina, 4 anos, é trazida à consulta por crises convulsivas. Na avaliação, apresenta atraso de linguagem e, ao exame clínico, observam-se máculas hipopigmentadas em regiões lateral direita de abdome, perna direita, inguinal esquerda e dorso (fig.1). Observam-se nódulos eritematosos em região malar bilateralmente e dorso de nariz (fig.2). O exame de imagem apresenta nódulos subependimários (fig.3) e lesões em hiperdensas em parênquima cerebral. Apresentou síndrome de West no primeiro ano de vida.

enunciado 1517163-1enunciado 1517163-2enunciado 1517163-3

Figura 1 Figura 2 Figura 3

Com base nos dados apresentados, o diagnóstico do caso é:

 

Provas

Questão presente nas seguintes provas