Magna Concursos
3330967 Ano: 2022
Disciplina: Veterinária
Banca: ARES
Orgão: UFC
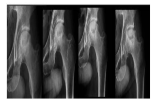
A radiologia veterinária se desenvolve a passos largos e suas aplicações têm se tornado cada vez mais presentes no dia a dia do médico veterinário. Avalie o seguinte caso clínico: Cão da raça Yorkshire, 10 meses de idade, apresentando claudicação grau 2 no membro pélvico esquerdo e dor à palpação coxofemoral esquerda. Os exames radiográficos seriados evidenciaram as alterações ósseas reveladas nas imagens abaixo.



Enunciado 3770458-1



Com base nesses dados, qual o provável diagnóstico?
Questão Anulada

Provas

Questão presente nas seguintes provas

Residência em Medicina Veterinária

50 Questões