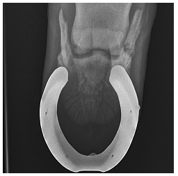
Caso clínico: Equino Quarto de Milha de vaquejada, 12 anos, claudicando grau 3 de membro torácico direito. Ao exame clínico apresenta extrema sensibilidade ao uso da tenaz de casco na região dos talões e na palpação manual na região palmaromedial e palmarolateral, ligeiramente proximal à região coronária. Ao bloqueio anestésico com 5 mL de lidocaína 2% em cada nervo digital palmar, paciente cessa claudicação após 15 minutos. O exame radiográfico foi realizado com ferraduras (não indicado), obtendo a imagem abaixo.

Considerando o diagnóstico obtido através do bloqueio anestésico e imagem radiográfica, qual a possível causa da claudicação, ferrageamento terapêutico e tratamento paliativo, respectivamente?