Atenção: Para responder às questões de números 36 a 38, considere o caso clínico abaixo.
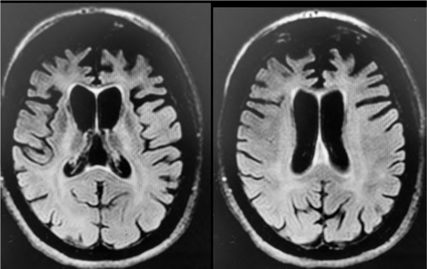
F.E.A, 64 anos, casada, superior completo, professora do ensino fundamental. Segundo os familiares, até 5 anos atrás a paciente tinha funcionalidade preservada, bom rendimento no trabalho, frequentava a igreja e atividades sociais. Nesses 5 anos começou a ficar mais retraída, reduziu contato social e permanecia mais em casa. Inicialmente pensaram que essas alterações estavam relacionadas à aposentadoria, mas com o passar do tempo começou a recusar ver filhos e netos, além de apresentar comportamento mais desinibido, sem prejuízo da necessidade de sono ou aceleração psíquica. Na avaliação clínica, verificou-se prejuízo visuoespacial e de função executiva significativos, associados a comprometimento da cognição social e pensamento lógico. Memória relativamente preservada. Funcionalidade prejudicada, com declínio das atividades instrumentais de vida diária. Ao exame físico, apresentava regular estado geral, algo descuidada, sinais vitais dentro dos parâmetros de normalidade. O exame neurológico apresentou grasping positivo, sem outras alterações. Exames gerais, EEG e líquor dentro dos parâmetros de normalidade. O exame de ressonância do crânio revelou a seguinte imagem:

São possibilidades adequadas para o tratamento da paciente: