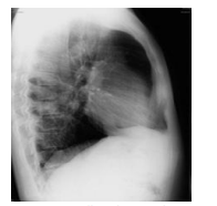
A radiografia é o método mais comum de diagnóstico por imagem na atualidade. Para que esse exame possa proporcionar boas imagens diagnósticas, é necessário respeitar incidências específicas em determinados segmentos do corpo que será radiografado. A imagem a seguir mostra uma radiografia de tórax, cuja a incidência utilizada foi

Fonte: https://www.researchgate.net/figure/Radiografia-de-torax-perfil-revelahipotransparencia-do-lobo-inferior-desse-lado-como_fig11_260010003. Acesso em: 15 set. 2022.