Homem, 69 anos, tabagista de longa data, chega ao pronto-socorro com dor torácica anterior intensa, em “facada”, acompanhada de diaforese, que o acordou há 2 horas. Ele nega dispneia, mas refere que a dor é contínua, intensa e irradia para dorso e ombros. Histórico: hipertensão de longa data mal controlada; diabetes e doença vascular periférica. Não é aderente às medicações, fuma 1 maço/dia, há 30 anos, e consome álcool regularmente.
Durante o exame físico, a dor diminuiu. Sinais vitais: T 37,1 ºC, FC 110 bpm, PA 180 × 90 mmHg no braço direito e 120 × 63 mmHg no esquerdo, FR 18. Está alerta. ECG: inversão de ondas T em V3–V4.
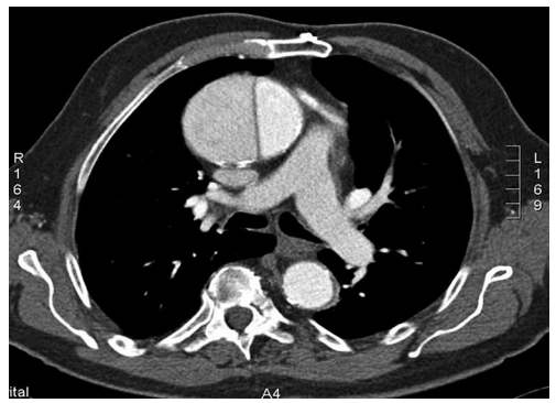
Realizou-se angiotomografia de tórax, conforme imagem a seguir

(Arquivo pessoal; imagem usada com autorização)
Diante do exposto, qual é o próximo melhor passo no tratamento?