Magna Concursos
3727711 Ano: 2025
Disciplina: Medicina
Banca: FUNDATEC
Orgão: GHC
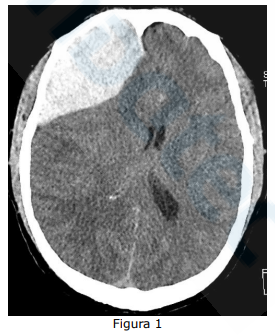
Homem jovem é admitido na emergência de um hospital terciário, vítima de acidente automobilístico (condutor de motocicleta). Ao exame, encontrava-se com pressão arterial 170/100 mmHg, frequência cardíaca de 47 bpm, ritmo respiratório irregular, frequência respiratória de 9 irpm, com saturação de oxigênio 90%. Sem lesões exsanguinantes. Ao exame neurológico, encontrava-se com abertura ocular à dor, emitindo palavras incompreensíveis e com postura de flexão anormal.
Após tomadas as condutas iniciais, ainda assim o paciente evoluiu com anisocoria à direita. Foi realizada tomografia de crânio de urgência, conforme apresentado na Figura 1 abaixo:
Enunciado 4483403-1

Considerando o achado radiológico, o diagnóstico tomográfico é:
 

Provas

Questão presente nas seguintes provas

Médico - Neurocirurgia da Coluna

40 Questões