Mulher de 29 anos procura uma Unidade de Pronto Atendimento referindo, há dois dias, febre “alta”, de início súbito, acompanhada de tosse produtiva com expectoração amarelada e leve dor em terço médio de hemitórax direito, na inspiração profunda. Informa ter tido um quadro gripal poucos dias antes. Nega comorbidades, etilismo ou tabagismo. Contudo, relata ter tido um exantema maculopapular, no segundo dia de tratamento com amoxicilina, prescrita para um quadro de angina de evolução arrastada, na adolescência.
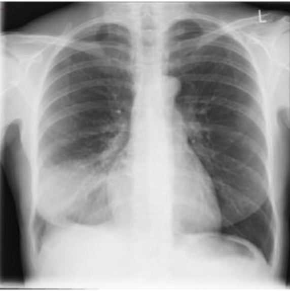
Ao exame: bom estado geral, embora abatida e com fácies de doença aguda. Corada, hidratada, anictérica, acianótica, eupneica. Ap Resp: MV universalmente audível, com estertoração crepitante em terço inferior à direita, onde se ausculta broncofonia. ACV, abdome e membros sem alterações. Sinais vitais: FC: 104 bpm; PA: 120/80 mmHg; FR: 20 irpm TAx: 39,0°C. Ao término do exame físico, foi submetida à radiografia de tórax, testes rápidos para Influenza e COVID-19 e coletada amostra de escarro para realização de bacterioscopia pelo método de Gram.

Os resultados evidenciaram:
Testes rápidos: COVID-19 – Negativo. / Influenza – Negativo.
Gram da amostra de escarro: No pequeno aumento, presença de mais de 50 neutrófilos/campo e menos de cinco células epiteliais/campo. No maior aumento (imersão), numerosos diplococos gram-positivos, vários deles intraleucocitários. Raros bastonetes gram-negativos exclusivamente extra-leucocitários.
A conduta terapêutica preconizada para essa paciente é