Magna Concursos
3874803 Ano: 2024
Disciplina: Fisioterapia
Banca: VUNESP
Orgão: UNICAMP
Provas:
De acordo com o caso clínico apresentado a seguir, responda a questão.
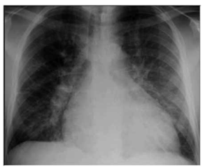
    Paciente do sexo masculino, 57 anos de idade, acompanhado pela esposa, procurou serviço de urgência por dispneia aos pequenos esforços, edema de membros inferiores, diminuição do volume urinário, tosse seca associada a dispneia progressiva. Os sintomas se iniciaram há, aproximadamente, 6 meses, com dispneia seguida de edema. A dispneia, que era aos esforços moderados, rapidamente progrediu até estar presente no repouso. À ausculta pulmonar apresentou roncos e estertores em bases pulmonares. Ao raio X apresentou a radiografia a seguir: 
Enunciado 4698920-1
(Arquivo pessoal, imagem usada com autorização)
Qual o provável diagnóstico de acordo com o caso clínico e com a imagem apresentados?
 

Provas

Questão presente nas seguintes provas

Fisioterapeuta

50 Questões