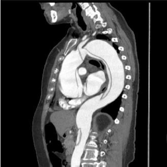
Observe a imagem.

Das condições a seguir, assinale a que não está geralmente associada à emergência cardiovascular visualizada na imagem.
Observe a imagem.

Das condições a seguir, assinale a que não está geralmente associada à emergência cardiovascular visualizada na imagem.