Magna Concursos
3986291 Ano: 2025
Disciplina: Medicina
Banca: VUNESP
Orgão: SES-SP
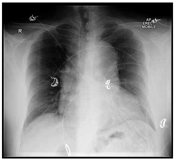
Mulher, 65 anos, com histórico de hipertensão tratada com hidroclorotiazida, apresenta-se com dispneia e dor torácica intensa irradiada para as costas. O exame físico inicial revela pressão arterial de 205 × 98 mmHg, estertores pulmonares em bases e alterações inespecíficas do segmento ST no eletrocardiograma. A radiografia de tórax está ilustrada a seguir:

Enunciado 4918745-1 (Arquivo pessoal; imagem usada com autorização)

Em face do exposto, qual é a melhor conduta inicial?
 

Provas

Questão presente nas seguintes provas