Magna Concursos
3727718 Ano: 2025
Disciplina: Medicina
Banca: FUNDATEC
Orgão: GHC

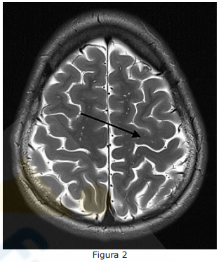
Na Figura 2 abaixo, qual é a área do cérebro destacada pela seta?

Enunciado 4483410-1

 

Provas

Questão presente nas seguintes provas

Médico - Neurocirurgia da Coluna

40 Questões