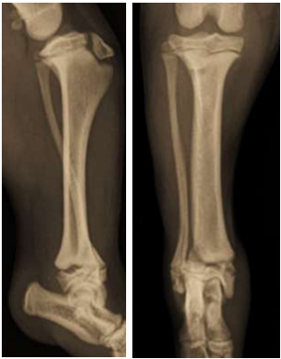
As radiografias abaixo pertencem a um Fox Terrier de 17 semanas de idade e evidenciam uma fratura
distal da tíbia. Trata-se de uma fratura fechada, que se estende por três quartos da linha fisária tibial,
prolongando-se até a metáfise lateral da tíbia:
A fratura não apresenta comunicação com a superfície articular. Com base nessa descrição, qual das seguintes opções melhor classifica essa fratura?
A fratura não apresenta comunicação com a superfície articular. Com base nessa descrição, qual das seguintes opções melhor classifica essa fratura?