Magna Concursos
3778686 Ano: 2022
Disciplina: Veterinária
Banca: COVEST-COPSET
Orgão: UFPE
Provas:

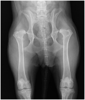
Canino com queixa clínica de claudicação e intolerância ao exercício foi submetido a um exame de imagem. Evidenciou-se, pelo exame, que o ângulo de Norberg foi menor que 90° com visível achatamento acetabular cranial, sem sinais de osteoartrose.

 

Qual o diagnóstico desse animal?

 

Enunciado 4546726-1

 

Provas

Questão presente nas seguintes provas

Médico Veterinário

80 Questões