Magna Concursos
4003404 Ano: 2025
Disciplina: Veterinária
Banca: UFU
Orgão: UFU
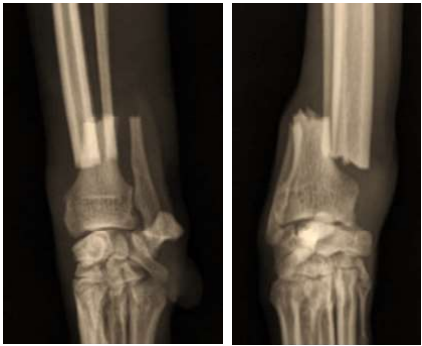
As radiografias abaixo pertencem a um Galgo Italiano, macho, com 5 anos de idade e 8 kg de peso corporal, que sofreu uma fratura fechada e não cominutiva do rádio ao saltar do colo do tutor:  
Enunciado 4939637-1
A fratura será estabilizada com uma placa óssea de tamanho adequado. Considerando o tipo de fratura e as características do paciente, qual seria a função mais apropriada para a aplicação dessa placa?
 

Provas

Questão presente nas seguintes provas

Residência em Medicina Veterinária

60 Questões