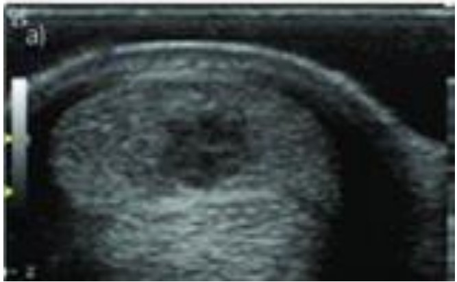
O exame ultrassonográfico dos tendões e ligamentos dos equinos é importante na identificação de lesões e na avaliação da efetividade do tratamento. Observe a imagem abaixo e assinale o enunciado CORRETO que se refere à estrutura anatômica acometida e o diagnóstico.

Fonte: Alzola, R. et al. Ultrasonographic-based predictive factors…. Equine Veterinary Journal. 50. 10.1111/evj.12810.
Provas
Questão presente nas seguintes provas