Magna Concursos
3852962 Ano: 2025
Disciplina: Veterinária
Banca: EDUCA
Orgão: Pref. Santa Cecília-PB
Provas:
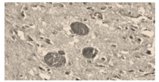
Na análise histopatológica abaixo, observam-se cistos contendo estruturas arredondadas compatíveis com protozoários. Esses parasitas estão associados a zoonoses relevantes e podem comprometer a qualidade sanitária de produtos de origem animal.

Enunciado 3852962-1

Sobre o texto e a figura, analise as alternativas e assinale a CORRETA:
 

Provas

Questão presente nas seguintes provas

Médico Veterinário

50 Questões