Analise a imagem.
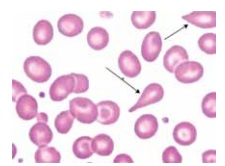
Material: Esfregaço periférico
(Imagem gentilmente cedida pelo Laboratório de Análises Clínicas do
Centro Universitário FMABC)
O esfregaço de sangue venoso revela qual tipo de poiquilocitose sinalizada pelas setas?
(Imagem gentilmente cedida pelo Laboratório de Análises Clínicas do
Centro Universitário FMABC)
O esfregaço de sangue venoso revela qual tipo de poiquilocitose sinalizada pelas setas?