Magna Concursos

Foram encontradas 30 questões.

3274300 Ano: 2024
Disciplina: Biomedicina
Banca: FUNCERN
Orgão: AMCEVALE
Provas:
A leucemia é uma condição hematológica caracterizada pela produção descontrolada de células sanguíneas anormais na medula óssea. Essas células anômalas prejudicam a produção saudável de glóbulos vermelhos, brancos e plaquetas. Um(a) biomédico(a) está analisando os achados laboratoriais de um paciente de 40 anos com suspeita de leucemia e visualiza na lâmina de distensão de sangue periférico uma leucocitose com vários estágios da granulocitopoese. O hemograma revelou uma contagem de leucócitos de 520 x 103 / μL. Além disso, um cariótipo do paciente usando hibridização fluorescente in situ (FISH) revelou a presença do cromossomo Filadélfia. Todos esses achados são indicadores de
 

Provas

Questão presente nas seguintes provas
3274299 Ano: 2024
Disciplina: Biomedicina
Banca: FUNCERN
Orgão: AMCEVALE
Provas:
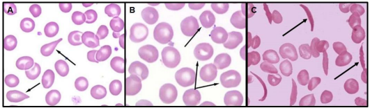
Os eritrócitos desempenham papel vital no transporte de oxigênio, mas várias condições podem afetar sua morfologia e função. Compreender essas alterações é fundamental para o diagnóstico e manejo de doenças hematológicas. Sendo assim, analise a lâmina a seguir.
Enunciado 3685038-1

Fonte: https://images.app.goo.gl/BYXxrLwYeE6CjvGg9; https://images.app.goo.gl/ZQGu8W5DTPhgJ9u48; https://images.app.goo.gl/cvs6ivr83vZ1V2cC9
Ao analisar a lâmina de distenção de sangue periférico, as células apontadas em A, B e C representam, respectivamente,
 

Provas

Questão presente nas seguintes provas
3274298 Ano: 2024
Disciplina: Biomedicina
Banca: FUNCERN
Orgão: AMCEVALE
Provas:
O infarto, uma das manifestações mais graves da doença cardíaca, é desencadeado pela interrupção do suprimento sanguíneo para uma parte do coração. Durante um infarto do miocárdio, algumas enzimas cardíacas específicas são liberadas no sangue devido ao dano das células do músculo cardíaco. Essas enzimas são marcadores úteis para diagnosticar e avaliar a extensão do dano cardíaco. O gráfico a seguir apresenta o comportamento de alguns desses biomarcadores.
Enunciado 3685037-1

Adaptado de: https://www.cardiofamilia.org/apuntes-de-cardiologia/cardiopatia-isquemica/infarto-demiocardio-cardiopatia-isquemica/marcadores-de-necrosis.html
As letras e setas correspondem, respectivamente, a
 

Provas

Questão presente nas seguintes provas
3274297 Ano: 2024
Disciplina: Biomedicina
Banca: FUNCERN
Orgão: AMCEVALE
Provas:
A acidose respiratória é um distúrbio clínico causado pela hipoventilação, levando a uma concentração aumentada da pressão de dióxido de carbono arterial (hipercapnia). A hipercapnia e a acidose respiratória ocorrem quando
 

Provas

Questão presente nas seguintes provas
3274296 Ano: 2024
Disciplina: Biomedicina
Banca: FUNCERN
Orgão: AMCEVALE
Provas:
O cinetoplasto é uma estrutura presente no Trypanosoma cruzi, o parasita responsável pela doença de Chagas. Localiza-se na mitocôndria, contém uma quantidade significativa de DNA, chamado de DNA cinetoplástico (kDNA), e organiza-se em redes circulares. O cinetoplasto desempenha um papel vital no metabolismo energético do parasita, sendo essencial para a produção de ATP. Além disso, o kDNA tem sido usado no estudo da variabilidade genética do T. cruzi, visando aprimorar técnicas de diagnóstico molecular. Para isso, é ampliado um gene do kDNA por PCR (polymerase chain reaction), seguindo para uma etapa com digestão enzimática e consecutiva visualização do padrão de bandas por eletroforese. Essa importante técnica de genotipagem denomina-se
 

Provas

Questão presente nas seguintes provas
3274295 Ano: 2024
Disciplina: Biomedicina
Banca: FUNCERN
Orgão: AMCEVALE
Provas:
Analise a imagem abaixo que representa estruturas de um parasito. Ele possui um complexo ciclo de vida no hospedeiro humano, necessitando de um estágio de maturação nos pulmões.
Enunciado 3685034-1

Adaptado de: https://parasitologiaclinica.ufsc.br/index.php/info/conteudo/fotografias
Considerando o ciclo de vida desse parasito, é correto afirmar que
 

Provas

Questão presente nas seguintes provas
3274294 Ano: 2024
Disciplina: Biomedicina
Banca: FUNCERN
Orgão: AMCEVALE
Provas:
A gonadotrofina coriônica humana beta é uma substância produzida durante a gravidez, sendo um marcador fundamental para detectar a gestação. Analise, a seguir, os testes de B-HCG de quatro pacientes: A, B, C e D.
Enunciado 3685033-1

Adaptado de: http://ebram.com/assets/606.intuse.pdf
Com base em seus conhecimentos sobre a interpretação de testes rápidos, é correto afirmar que
 

Provas

Questão presente nas seguintes provas
3274293 Ano: 2024
Disciplina: Biomedicina
Banca: FUNCERN
Orgão: AMCEVALE
Provas:
Durante um plantão no banco de sangue, foram solicitados testes de compatibilidade para um bebê que necessitava receber concentrado de hemácias pela primeira vez, pois seu hemograma revelou Hb de 6,5g/dL e Ht 33%. Sendo assim, avalie o resultado dos testes.
Enunciado 3685032-1
Adaptado de: https://saude.rs.gov.br/upload/arquivos/carga20190515/03151546-testes-pre-transfusionais.pdf
A partir do resultado apresentado, deve se concluir que o RN e a mãe são do tipo sanguíneo
 

Provas

Questão presente nas seguintes provas
3274292 Ano: 2024
Disciplina: Biomedicina
Banca: FUNCERN
Orgão: AMCEVALE
Provas:
O microscópio é um equipamento de laboratório fundamental para as análises clínicas sendo utilizado em diversas áreas como microbiologia, parasitologia, hematologia, uroanálises e imunologia. Para a leitura do sedimento urinário, o analista clínico deve, a princípio,
 

Provas

Questão presente nas seguintes provas
3274291 Ano: 2024
Disciplina: Biomedicina
Banca: FUNCERN
Orgão: AMCEVALE
Provas:
No diagnóstico microbiológico clínico, diversos meios de cultivo são utilizados para o crescimento bacteriano. Sobre os meios de cultura, O ágar
 

Provas

Questão presente nas seguintes provas