Foram encontradas 2.179 questões.
Doses elevadas e com duas ou mais tomadas diárias de ferro por
via oral, para o tratamento da anemia ferropriva, podem resultar
em falta de resposta clínica.
A explicação para esse fenômeno é:
A explicação para esse fenômeno é:
Provas
Questão presente nas seguintes provas
Uma paciente de 44 anos de idade, portadora de doença de
Basedow Graves em tratamento com propiltiuracil, desenvolve
febre alta, tosse e dor torácica à direita. Procura uma
emergência, onde é feito o diagnóstico de pneumonia, e é
encaminhada para internação. No hemograma, as séries
vermelha e plaquetária estão normais, e a contagem de
leucócitos é de 2.100/µL, com 1.900 células mononucleares e
200 granulócitos/µL.
Diante desse quadro, além de antibiótico(s) para a pneumonia, o tratamento imediato deve incluir:
Diante desse quadro, além de antibiótico(s) para a pneumonia, o tratamento imediato deve incluir:
Provas
Questão presente nas seguintes provas
O tratamento de escolha para pacientes com púrpura
trombocitopênica imunológica (P.T.I.) refratária ao tratamento
com imunoglobulina e com corticosteroides é:
Provas
Questão presente nas seguintes provas
O anticorpo monoclonal anti-CD20 está indicado para o
tratamento de pacientes com leucemia linfocítica crônica (LLC) e
linfoma não Hodgkin de células B (LNH-B).
O efeito adverso mais frequente desse medicamento, quando usado para tratar LLC ou LNH-B, é:
O efeito adverso mais frequente desse medicamento, quando usado para tratar LLC ou LNH-B, é:
Provas
Questão presente nas seguintes provas
Um paciente politraumatizado, vítima de atropelamento, é
atendido na via pública pela ambulância do SAMU. A vítima
apresenta fratura exposta de pernas e sangramento profuso, por
múltiplos pontos.
A medida terapêutica que deve ser feita ainda na fase préhospitalar é:
A medida terapêutica que deve ser feita ainda na fase préhospitalar é:
Provas
Questão presente nas seguintes provas
Um paciente de 25 anos de idade, portador de doença
falciforme (DF), apresenta crises vaso-oclusivas frequentes, com
dor de grande intensidade que quase sempre o obriga a procurar
a emergência.
Para avaliação inicial do paciente na emergência, está recomendado(a):
Para avaliação inicial do paciente na emergência, está recomendado(a):
Provas
Questão presente nas seguintes provas
Um paciente do sexo masculino, 35 anos de idade, é internado
para tratamento de indução de uma leucemia mieloide aguda.
Depois de administrados os medicamentos que fazem parte do
bloco de tratamento, o paciente entra em aplasia de medula
óssea, com profunda neutropenia (< 500 neutrófilos/µL), anemia
e plaquetopenia, mas ainda não apresenta febre.
O esquema de antibioticoterapia profilática deve incluir os seguintes medicamentos:
O esquema de antibioticoterapia profilática deve incluir os seguintes medicamentos:
Provas
Questão presente nas seguintes provas
A frequência e os critérios específicos para a doação por aférese
de duplo concentrado de hemácias, de acordo com norma
vigente no país, são os seguintes:
Provas
Questão presente nas seguintes provas
Uma das complicações mais frequentes das aféreses terapêuticas
é dormência perioral.
A ação imediata que se impõe diante desse tipo de reação adversa é:
A ação imediata que se impõe diante desse tipo de reação adversa é:
Provas
Questão presente nas seguintes provas
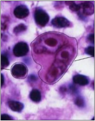
Uma paciente de 25 anos procura o médico com queixa de
prurido intenso, febrícula diária e perda de peso moderada; esses
sintomas surgiram dois meses antes da consulta. Na consulta, o
hematologista constata discreta adenomegalia occipital. Um
gânglio é biopsiado, e a histopatologia identifica a célula que é
mostrada na imagem abaixo.
Essa imagem e esse quadro clínico caracterizam, respectivamente:
Essa imagem e esse quadro clínico caracterizam, respectivamente:
Provas
Questão presente nas seguintes provas
Cadernos
Caderno Container