Foram encontradas 2.179 questões.
Um paciente de 60 anos de idade, 50 kg, portador de mieloma
múltiplo, será submetido a um transplante autólogo de medula
óssea. O volume total de células-tronco coletadas por aférese foi
de 250 mL, e a contagem de células CD34+ no produto foi de
600 células/µL.
Com base nesses resultados, é correto afirmar, acerca do número de células-tronco CD34+ colhidas, que:
Com base nesses resultados, é correto afirmar, acerca do número de células-tronco CD34+ colhidas, que:
Provas
Questão presente nas seguintes provas
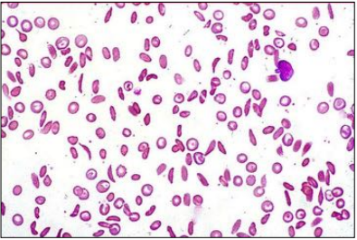
Uma criança de 5 anos de idade é encaminhada para o
hematologista com história de anemia crônica, infecções de
repetição e crises álgicas esporádicas. O hematologista faz um
esfregaço do sangue periférico, cuja imagem pode ser vista
abaixo.
Com base na história e na imagem, o diagnóstico provável é:
Com base na história e na imagem, o diagnóstico provável é:
Provas
Questão presente nas seguintes provas
Em relação à data para a qual uma transfusão está programada
para um paciente que nunca foi previamente transfundido, a
coleta de amostra do paciente para a pesquisa pré-transfusional
de anticorpos irregulares (P.A.I.) precisa ser feita até:
Provas
Questão presente nas seguintes provas
Um paciente de 58 anos, portador de mieloma múltiplo, é
encaminhado para se submeter a um segundo transplante de
medula óssea. 1 ano antes, havia sido submetido a um primeiro
transplante de medula autólogo. Naquela ocasião, a coleta de
células-tronco CD34+ do sangue periférico, após uso do agente
mobilizador habitual, resultou pouco frutífera, tendo-se atingido
o número mínimo de células para o transplante após quatro
coletas subsequentes, ao longo de 3 dias.
Para o novo transplante, a recomendação para aumentar a probabilidade de êxito da mobilização pré-coleta é:
Para o novo transplante, a recomendação para aumentar a probabilidade de êxito da mobilização pré-coleta é:
Provas
Questão presente nas seguintes provas
Em um paciente com suspeita clínica de leucemia mieloide aguda
e que apresenta trombocitopenia, um aspirado de medula óssea
(mielograma) só pode ser realizado se a contagem de plaquetas
estiver acima de:
Provas
Questão presente nas seguintes provas
O esquema atual de tratamento de primeira linha para a
leucemia promielocítica aguda (M3) inclui:
Provas
Questão presente nas seguintes provas
Uma criança de 3 anos de idade, do sexo masculino, portadora de
hemofilia A grave e em tratamento profilático com o uso de fator
VIII recombinante (35 UI/Kg, 2 vezes por semana), começa a
apresentar hemartroses de joelho e tornozelo. Seu hematologista
solicitou pesquisa de inibidor de fator VIII, que foi positiva, com
um título de 180 Unidades Bethesda. Foi iniciado um esquema de
imunotolerância, sem resposta após 1 ano de tratamento.
Considerando-se o quadro clínico do paciente, a estratégia terapêutica a ser empregada para a profilaxia seria:
Considerando-se o quadro clínico do paciente, a estratégia terapêutica a ser empregada para a profilaxia seria:
Provas
Questão presente nas seguintes provas
Uma paciente de 19 anos de idade, portadora de doença
falciforme, politransfundida, apresenta piora da anemia, com
queda de 2,8 gramas/dL em relação à sua dosagem basal de
hemoglobina. Uma transfusão simples de duas bolsas de
concentrados de hemácias foi indicada, sendo que a sua última
transfusão havia acontecido quatro meses antes. A paciente era
do grupo O negativo, com fenótipo dce/dce. A pesquisa de
anticorpos irregulares (P.A.I.) pré-transfusional foi positiva e o
teste de Coombs direto foi negativo. O aloanticorpo identificado
foi um anti-e (anti-Rh5).
A hipótese que explica esse resultado é:
A hipótese que explica esse resultado é:
Provas
Questão presente nas seguintes provas
Dentre as medicações que podem modificar a evolução da
doença falciforme (DF), a hidroxiureia é aquela cuja eficácia está
mais bem estabelecida.
A respeito do uso e do efeito da hidroxiureia na DF, é correto afirmar que:
A respeito do uso e do efeito da hidroxiureia na DF, é correto afirmar que:
Provas
Questão presente nas seguintes provas
Um paciente soropositivo para HTLV, de 60 anos idade,
desenvolve adenomegalia generalizada. A histopatologia do
gânglio linfático retirado mostrou linfócitos anormais, clivados,
com padrão folicular, arquitetura alterada e envolvimento da
cápsula. A imunofenotipagem do sangue periférico, feita por
citometria de fluxo, mostrou os seguintes resultados: CD2+,
CD3+, CD4+, CD5+, CD7-, CD8-, CD25+, CD30-.
Esses resultados sugerem o diagnóstico de:
Esses resultados sugerem o diagnóstico de:
Provas
Questão presente nas seguintes provas
Cadernos
Caderno Container