Magna Concursos

Foram encontradas 335 questões.

4000267 Ano: 2025
Disciplina: Saúde Pública
Banca: VUNESP
Orgão: FICSAE
As Diretrizes Brasileiras para o Rastreamento do Câncer de Colo do Útero, utilizando testes moleculares para detecção de DNA-HPV oncogênico, foram aprovadas em 2025.
Assinale a alternativa que NÃO está em acordo com as recomendações de transição do rastreamento citológico para o rastreamento com teste de DNA-HPV oncogênico.
 

Provas

Questão presente nas seguintes provas
4000266 Ano: 2025
Disciplina: Medicina
Banca: VUNESP
Orgão: FICSAE
Paciente, 28 anos, G2P0A1, 6 semanas pela DUM, apresenta dor pélvica de leve intensidade e sangramento genital vinhoso. USG transvaginal: massa anexial esquerda de 2,5 cm de diâmetro médio, sem líquido livre em fundo de saco. β-hCG inicial: 3.200 mUI/mL. Opta-se por metotrexato dose única (50 mg/m2 ). No 4º dia: β-hCG 3.050 mUI/mL; no 7º dia: 2.750 mUI/mL. Paciente permanece assintomática.
Assinale a alternativa que apresenta a conduta mais adequada.
 

Provas

Questão presente nas seguintes provas
4000265 Ano: 2025
Disciplina: Medicina
Banca: VUNESP
Orgão: FICSAE
Gestante G3P0, 40 semanas, período expulsivo há 50 min, analgesiada por duplo bloqueio, apresenta desaceleração prolongada de 6 min na cardiotocografia, não responsiva a medidas iniciais de ressuscitação fetal. Ao toque: dilatação total, occípito-direita-anterior, plano +2 de De Lee, pelve adequada e líquido claro.
Qual a conduta mais adequada nesse momento?
 

Provas

Questão presente nas seguintes provas
4000264 Ano: 2025
Disciplina: Medicina
Banca: VUNESP
Orgão: FICSAE
Gestante G2P1, 39 semanas, durante palpação obstétrica pelas manobras de Leopold, apresenta: polo duro, regular e globoso no fundo uterino; superfícies irregulares e pequenas partes palpáveis bilateralmente, sem dorso definido; polo volumoso, duro e móvel sobre a sínfise púbica; e estrutura mole e volumosa ocupando o estreito superior, sem pés palpáveis.
Assinale a alternativa que apresenta a interpretação mais provável.
 

Provas

Questão presente nas seguintes provas
4000263 Ano: 2025
Disciplina: Medicina
Banca: VUNESP
Orgão: FICSAE
Quanto à vigilância do bem-estar fetal diante de quadro de restrição do crescimento, é correto afirmar que
 

Provas

Questão presente nas seguintes provas
4000262 Ano: 2025
Disciplina: Medicina
Banca: VUNESP
Orgão: FICSAE
Para uma paciente gestante com diagnóstico de síndrome de antifosfolípides, assinale a alternativa correta.
 

Provas

Questão presente nas seguintes provas
4000261 Ano: 2025
Disciplina: Medicina
Banca: VUNESP
Orgão: FICSAE
Quanto ao rastreio de pré-eclâmpsia, assinale a alternativa correta.
 

Provas

Questão presente nas seguintes provas
4000260 Ano: 2025
Disciplina: Medicina
Banca: VUNESP
Orgão: FICSAE
Em relação aos cuidados no ciclo gravídico-puerperal de mulheres portadoras de HIV, é incorreto afirmar que
 

Provas

Questão presente nas seguintes provas
4000259 Ano: 2025
Disciplina: Medicina
Banca: VUNESP
Orgão: FICSAE
Uma paciente de 16 anos procura o ambulatório de ginecologia por nunca ter menstruado. Informa que sua mãe teve menopausa precoce aos 37 anos. O exame físico evidencia desenvolvimento das mamas e pelos pubianos (Tanner IV), índice de Ferriman = 7, e seu peso e altura são 59 kg e 1,65 m, respectivamente.
Ela traz alguns exames laboratoriais recentes já solicitados previamente em outro serviço:

• FSH: 5 mUI/mL Valores de referência: Fase folicular: 3,5 a 12,5 mUI/mL Meio do ciclo: 4,7 a 21,5 mUI/mL Fase lútea: 1,7 a 7,7 mUI/mL Pós-menopausa: 25,8 a 134,8 mUI/mL
• LH: 7 mUI/mL Valores de referência: Fase folicular: 2,4 a 12,6 mUI/mL Meio do ciclo: 14,0 a 95,6 mUI/mL Fase lútea: 1,0 a 11,4 mUI/mL Pós-menopausa: 7,7 a 58,5 mUI/mL
• Prolactina: 17 ng/mL (Valores de referência: 5 − 20 ng/mL) • TSH: 2,6 µUI/mL (Valores de referência: 0,4 − 4,3 µUI/mL)

Qual é o próximo passo na investigação diagnóstica dessa paciente?
 

Provas

Questão presente nas seguintes provas
4000258 Ano: 2025
Disciplina: Medicina
Banca: VUNESP
Orgão: FICSAE
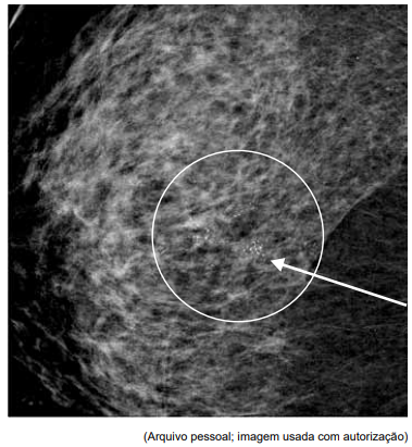
Paciente de 57 anos, assintomática, sem história familiar de câncer de mama, comparece ao serviço de ginecologia trazendo mamografia de rastreamento, reproduzida a seguir. O exame físico não evidencia nódulos palpáveis ou linfadenopatia axilar.


Enunciado 4424925-1


Qual a conduta diagnóstica mais apropriada neste caso e a hipótese histopatológica mais provável, caso se confirme malignidade?
 

Provas

Questão presente nas seguintes provas