Foram encontradas 335 questões.
Menino de 14 anos apresenta febre alta há 7 dias, dor
de garganta e surgimento de exantema maculopapular disseminado. Nega uso recente de antibióticos.
Ao exame físico, observam-se exsudato amarelado em
amídalas, linfadenopatia generalizada, esplenomegalia
e hepatomegalia discretas. O exantema acomete tronco,
face e membros, sem prurido.
Considerando a principal hipótese diagnóstica, qual achado laboratorial é mais característico?
Considerando a principal hipótese diagnóstica, qual achado laboratorial é mais característico?
Provas
Questão presente nas seguintes provas
Lactente de 6 meses, irmão de criança com alergia alimentar grave a castanhas, encontra-se em fase de introdução alimentar. Considerando o risco aumentado para
alergia alimentar, qual a orientação adequada, conforme
as diretrizes atuais?
Provas
Questão presente nas seguintes provas
Lactente de 12 meses com quatro episódios de sibilância
desde os 8 meses, um deles com necessidade de hospitalização. Todos os episódios ocorreram após quadros
respiratórios virais. Entre crises, permanece com sintomas respiratórios leves. Ao exame: eutrófico, eupneico,
ausculta com roncos de transmissão, lesões eczematosas em fossas cubitais e poplíteas.
Com base no GINA 2025 para menores de 5 anos, qual a conduta terapêutica correta?
Com base no GINA 2025 para menores de 5 anos, qual a conduta terapêutica correta?
Provas
Questão presente nas seguintes provas
Menina de 1 ano e 8 meses, previamente saudável, apresenta febre há 3 dias, irritabilidade, recusa alimentar e
vômitos isolados. Ao exame, encontra-se em mau estado
geral, febril (38,8 ºC), taquicárdica, com dor à palpação
do flanco esquerdo. Exames laboratoriais revelam leucocitose de 16.000/mm3
, neutrofilia, leucocitúria +++,
hematúria microscópica e nitrito positivo. Urocultura por
cateterismo foi coletada, e o antibiograma estará disponível em 72h.
Frente aos achados clínico-laboratoriais, qual o manejo terapêutico apropriado?
Frente aos achados clínico-laboratoriais, qual o manejo terapêutico apropriado?
Provas
Questão presente nas seguintes provas
Menino de 10 anos, portador de anemia falciforme, é
admitido com febre, dor torácica e taquipneia. A gasometria arterial revela PaO2
de 55 mmHg, e a radiografia de tórax demonstra infiltrado pulmonar multilobar,
confirmando o diagnóstico de síndrome torácica aguda
(STA). Iniciado tratamento com oxigenoterapia, hidratação venosa, ceftriaxona e azitromicina. Após 24 horas,
a saturação de oxigênio permanece abaixo de 90%, e a
hemoglobina caiu para 6,5 g/dL.
Qual a conduta imediata indicada nesse momento?
Qual a conduta imediata indicada nesse momento?
Provas
Questão presente nas seguintes provas
Sobre as contraindicações e precauções relacionadas ao
uso de anestésicos locais nas diferentes técnicas anestésicas, assinale a alternativa correta.
Provas
Questão presente nas seguintes provas
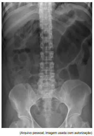
Homem de 32 anos, portador de retocolite ulcerativa há
5 anos, em uso irregular de mesalazina, procura o pronto-socorro por dor abdominal difusa e intensa há 24 horas, acompanhada de distensão abdominal progressiva e febre (38,9 ºC), além de diarreia sanguinolenta há
5 dias. Ao exame físico, apresenta abdome distendido,
timpânico, difusamente doloroso e ruídos hidroaéreos diminuídos. A frequência cardíaca é de 124 bpm e a pressão arterial de 90 x 60 mmHg. Os exames laboratoriais
relevantes para o caso são: leucócitos: 18.500/mm3
;
hemoglobina: 10,2 g/dL; PCR: 160 mg/L; e creatinina:
1,9 mg/dL. A radiografia simples do abdome é demonstrada na imagem a seguir:
Foram iniciados jejum, hidratação, antibioticoterapia e corticoterapia, porém sem melhora dos parâmetros clínicos nas primeiras 24 horas. Dessa forma, a conduta indicada neste momento é:
Foram iniciados jejum, hidratação, antibioticoterapia e corticoterapia, porém sem melhora dos parâmetros clínicos nas primeiras 24 horas. Dessa forma, a conduta indicada neste momento é:
Provas
Questão presente nas seguintes provas
Homem de 74 anos apresenta icterícia progressiva há
1 mês, colúria e prurido intenso. Relata também perda
de 12 kg nos últimos 3 meses. Tem como comorbidades
doença pulmonar obstrutiva crônica e hipertensão arterial sistêmica. Ao exame físico, tem abdome flácido, indolor, com massa fibroelástica palpável em hipocôndrio
direito, além de pressão arterial de 140 x 80 mmHg, frequência cardíaca de 80 bpm, ictérico 3+/4+ e ECOG 3.
Os exames laboratoriais relevantes são: bilirrubina total:
15,0 mg/dL; bilirrubina direta: 13,2 mg/dL; fosfatase alcalina (FA): 980 U/L; gama-GT (GGT): 820 U/L; INR: 1,3; e
creatinina sérica: 0,9 mg/dL. O paciente realizou também
uma tomografia de abdome que demonstrou uma lesão
de 25 mm em cabeça de pâncreas, com dilatação de via
biliar e ducto pancreático, sem contato com vasos mesentéricos superiores e sem evidência de metástases.
A conduta apropriada neste cenário é
A conduta apropriada neste cenário é
Provas
Questão presente nas seguintes provas
Após colecistectomia laparoscópica em um homem de
55 anos, observa-se, durante análise macroscópica, que
a vesícula biliar encontra-se muito distendida e preenchida por líquido transparente, semelhante à água, sem bile
no interior.
Qual é o achado mais provável associado a esse quadro?
Qual é o achado mais provável associado a esse quadro?
Provas
Questão presente nas seguintes provas
Homem de 47 anos foi submetido a hemorroidectomia
aberta por doença hemorroidária grau III pela técnica de
Milligan-Morgan. Evoluiu bem no pós-operatório imediato. Entretanto, cerca de 4 semanas após a cirurgia, passou a apresentar evacuações progressivamente difíceis,
fezes afiladas e dor anal persistente.
O mecanismo mais provavelmente responsável por esse quadro é a
O mecanismo mais provavelmente responsável por esse quadro é a
Provas
Questão presente nas seguintes provas
Cadernos
Caderno Container