Magna Concursos

Foram encontradas 335 questões.

Homem de 34 anos, previamente hígido, há 2 meses com quadro de tosse seca, edema em face e pletora facial moderada, que melhoram ao sentar-se. Realizou extração dentária há 3 semanas. Ao exame físico: saturação de 95% em ar ambiente; hemodinamicamente estável. Massa palpável em testículo direito, que o paciente não havia notado antes. Foi então submetido à angiotomografia de tórax, com os seguintes achados relevantes: massa heterogênea de 10 cm no mediastino anterior com áreas necróticas; compressão moderada da veia cava superior e traqueia pérvia. Marcadores sanguíneos relevantes: β-hCG 1.200 mUI/mL, AFP 2.500 ng/mL, DHL elevada.
Diante desse quadro, assinale a alternativa que apresenta a conduta inicial mais indicada.
 

Provas

Questão presente nas seguintes provas
Homem acamado de 70 anos, com histórico de AVC isquêmico há 3 anos, evoluiu com úlcera de pressão em região sacral, estágio IV, com 10 cm de diâmetro, exposição de osso sacro, presença de tecido necrótico e secreção purulenta. Não há sinais de sepse.
Qual a conduta mais adequada nesse momento?
 

Provas

Questão presente nas seguintes provas
Homem de 65 anos, com antecedente de DPOC grave, foi submetido há 10 dias a uma traqueostomia eletiva por intubação prolongada. Apresenta episódio de hemoptise volumosa pela cânula associada à hipotensão arterial.
Assinale a alternativa que apresenta a conduta imediata mais indicada.
 

Provas

Questão presente nas seguintes provas
Homem de 23 anos com linfonodomegalia de 2 cm, conforme demonstrada na imagem a seguir, com suspeita de doença linfoproliferativa.


Enunciado 4425211-1



(Arquivo pessoal; imagem usada com autorização)

Assinale a alternativa que apresenta os cuidados cirúrgicos necessários durante a biópsia excisional.
 

Provas

Questão presente nas seguintes provas
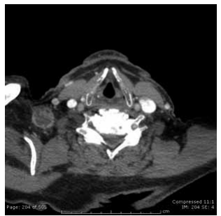
Mulher de 42 anos, previamente hígida, foi submetida a procedimento estético em consultório odontológico há 8 horas. Há 1 hora, notou aumento do volume cervical e veio ao pronto-socorro para avaliação. No momento, está estável hemodinamicamente, eupneica em ar ambiente. A imagem a seguir demonstra o aspecto do pescoço.


Enunciado 4425210-1



(Sociedade Brasileira de Cirurgia de Cabeça e Pescoço) 


Assinale a alternativa que apresenta a conduta mais indicada no manejo do caso.
 

Provas

Questão presente nas seguintes provas
Homem de 65 anos assintomático, sem comorbidades, com antecedente de tabagismo de 40 anos/maço, teve achado incidental de um nódulo pulmonar. Realizou tomografia com achado de nódulo sólido localizado na periferia do lobo superior direito, medindo aproximadamente 2,5 x 1,5 cm. No PET-TC, o nódulo demonstra SUV máximo 6,0. Não se observam linfonodomegalias hipermetabólicas no mediastino ou no hilo pulmonar, nem focos de hipercaptação à distância sugestivos de doença metastática. O paciente tem boa função pulmonar.
Qual a conduta mais indicada para esse paciente nesse momento?
 

Provas

Questão presente nas seguintes provas
Mulher de 68 anos, com antecedente de tabagismo e etilismo, vem para avaliação com queixa de disfonia há 4 meses. Nega disfagia e está eupneica.
Assinale a alternativa que apresenta uma descrição de exame físico compatível com o quadro dessa paciente.
 

Provas

Questão presente nas seguintes provas
Homem de 22 anos, previamente hígido, procura atendimento ambulatorial por aumento doloroso na linha média do pescoço há 4 dias, associado a febre baixa e odinofagia. Ao exame, apresenta massa de aproximadamente 3 cm na região submentoniana média, dolorosa à palpação, sem sinais de flutuação, mas com hiperemia e calor local. Realizada ultrassonografia cervical, que evidenciou lesão cística 3,2 cm nesta topografia com conteúdo espesso, cranial à chanfradura laríngea.
Com base no quadro clínico e nos achados do exame de imagem, assinale a alternativa que apresenta a conduta mais adequada nesse momento.
 

Provas

Questão presente nas seguintes provas
Mulher de 28 anos com queixa de perda de peso e insônia. Ao exame físico, tem FC 100 bpm, tireoide palpável com nódulo 2 cm em lobo direito, bem delimitado, fibroelástico e móvel. Apresenta os exames a seguir: hemoglobina 12,2 g/dL; ureia 45 mg/dL; creatinina 0,7 mg/dL; sódio 140 mg/dL; potássio 4,0 mg/dL, TSH < 0,005 mU/L, T4l 2,1 ng/dL, anti-TPO 25 U/mL (ref. < 35 U/mL), TRAb 1 U/L (< 1,75), além da cintilografia de tireoide ilustrada a seguir.


Enunciado 4425206-1



Com esses dados, assinale a alternativa correta em relação à conduta mais indicada.
 

Provas

Questão presente nas seguintes provas
Homem de 52 anos vem ao pronto-socorro com queixa de dor em região cervical há 2 dias. Refere dor intensa em região cervical à esquerda, associada ao aumento de volume local, hiperemia e calor. Nega febre ou episódios prévios semelhantes. Refere piora da dor à alimentação. Ao exame físico, há aumento importante de volume de partes moles em nível IB à esquerda, com intensa hiperemia e calor locais. Palpação profunda impedida por dor. À oroscopia, há saída de secreção purulenta na papila sublingual.
Sobre a condução do caso, assinale a alternativa correta.
 

Provas

Questão presente nas seguintes provas