Foram encontradas 335 questões.
A imagem a seguir apresenta dois tipos de anastomose
pancreatojejunal comumente utilizadas após duodenopancreatectomia, procedimento padrão no tratamento de
tumores periampulares.
(Arquivo pessoal; imagens usadas com autorização)
Com base nas imagens e nos conhecimentos atuais, é correto afirmar que
(Arquivo pessoal; imagens usadas com autorização)
Com base nas imagens e nos conhecimentos atuais, é correto afirmar que
Provas
Questão presente nas seguintes provas
Mulher de 55 anos, com antecedente de gastroplastia
em Y de Roux, com colecistectomia há 1 ano por obesidade, evolui com dor em hipocôndrio direito, colúria e
icterícia.
Exames laboratoriais mostram bilirrubina total de 5,8 mg/dL (direta 4,4), fosfatase alcalina de 690 U/L e leucocitose discreta.
Realizou-se uma ressonância, conforme mostra a imagem a seguir.
(Arquivo pessoal; imagem usada com autorização)
Em face do exposto, assinale a alternativa correta.
Exames laboratoriais mostram bilirrubina total de 5,8 mg/dL (direta 4,4), fosfatase alcalina de 690 U/L e leucocitose discreta.
Realizou-se uma ressonância, conforme mostra a imagem a seguir.
(Arquivo pessoal; imagem usada com autorização)
Em face do exposto, assinale a alternativa correta.
Provas
Questão presente nas seguintes provas
Mulher de 29 anos, submetida a bypass gástrico em Y de
Roux há 3 anos, evoluiu com boa perda ponderal e seguimento regular. Após 2 anos de cirurgia, iniciou reganho
de peso, recorrendo a um regime alimentar hipocalórico.
Iniciou episódios recorrentes de dor abdominal em andar
superior, náuseas e vômitos pós-prandiais há 2 semanas, com piora importante nas últimas 24 horas, quando
buscou o pronto-socorro. Ao exame físico, apresenta dor
em andar superior do abdome, sem sinais de peritonite.
Realizou a tomografia computadorizada demonstrada na
imagem a seguir:
(Arquivo pessoal; imagem usada com autorização)
Diante do quadro, qual a principal hipótese diagnóstica e a conduta indicada, respectivamente?
(Arquivo pessoal; imagem usada com autorização)
Diante do quadro, qual a principal hipótese diagnóstica e a conduta indicada, respectivamente?
Provas
Questão presente nas seguintes provas
Homem de 20 anos, admitido em hospital terciário após
colisão automobilística (carro x carro). Permaneceu retido
nas ferragens do veículo por aproximadamente 2 horas.
Na admissão, foi realizada a avaliação inicial conforme a
sequência primária do atendimento ao trauma (ABCDE).
Apresentava pressão arterial de 120 x 75 mmHg, frequência cardíaca de 110 bpm e lesão evidenciada na
imagem a seguir. Pulsos distais palpáveis, porém filiformes e sensibilidade distal preservada.
(Arquivo pessoal; imagem usada com autorização)
Diante do quadro apresentado, qual seria a conduta inicial mais adequada?
(Arquivo pessoal; imagem usada com autorização)
Diante do quadro apresentado, qual seria a conduta inicial mais adequada?
Provas
Questão presente nas seguintes provas
Mulher de 65 anos, com necessidade de toracocentese
de alívio por extenso derrame pleural à esquerda, que
causava dispneia. Realizada punção no 8o
espaço intercostal, linha axilar média, com saída de 20 mL de líquido serossanguinolento, sem saída adicional de líquidos.
Trinta minutos após o procedimento, a paciente evolui
descorada, com frequência cardíaca de 100 bpm e PA
de 85 x 60 mmHg, queixando-se de dispneia e dor abdominal. Realizou a tomografia demonstrada nas imagens
a seguir:
(Arquivo pessoal; imagem usada com autorização)
No retorno da tomografia, a paciente evolui com queda do nível de consciência, sendo realizada intubação orotraqueal. Assim, qual conduta mais adequada para resolução do caso?
(Arquivo pessoal; imagem usada com autorização)
No retorno da tomografia, a paciente evolui com queda do nível de consciência, sendo realizada intubação orotraqueal. Assim, qual conduta mais adequada para resolução do caso?
Provas
Questão presente nas seguintes provas
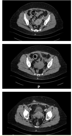
Mulher de 41 anos apresentou quadro de diverticulite aguda perfurada e bloqueada, sendo submetida à laparoscopia com limpeza e drenagem da cavidade. Evoluiu bem no
pós-operatório, com dreno progressivamente menos produtivo e retirado no 10º PO. Retorna 2 meses após a cirurgia, assintomática, afebril, sem dor abdominal, mas com
secreção purulenta diária por orifício cutâneo no local do
dreno, em pequena quantidade, suficiente para sujar uma
gaze por dia. Foi realizada uma tomografia de abdome,
demonstrada nas imagens a seguir:
(Arquivo pessoal; imagem usada com autorização)
Sobre a evolução deste quadro, assinale a alternativa correta.
(Arquivo pessoal; imagem usada com autorização)
Sobre a evolução deste quadro, assinale a alternativa correta.
Provas
Questão presente nas seguintes provas
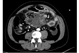
Homem de 53 anos, com quadro de linfoma difuso de
grandes células B com grande conglomerado linfonodal
no mesentério. Iniciou esquema quimioterápico (CHOP)
e, após 1 semana da primeira infusão, apresenta quadro de dor abdominal intensa, procurando o pronto-socorro. Apresenta-se com abdome distendido, doloroso à
palpação de mesogastro, ruídos hidroaéreos ausentes.
FC: 113 bpm e PA: 107 x 74 mmHg. Exames relevantes: hemoglobina: 12 g/dL; hematócrito: 36%; leucócitos:
18.500/mm3
; neutrófilos segmentados: 85%; bastonetes:
10%; plaquetas: 420.000/mm3
; PCR: 220 mg/L. Realizou
ainda a tomografia de abdome demonstrada a seguir:
(Arquivo pessoal; imagem usada com autorização)
Durante a abordagem, no intraoperatório, encontra-se extensa infiltração mesentérica.
Dessa forma, qual conduta deve ser priorizada?
(Arquivo pessoal; imagem usada com autorização)
Durante a abordagem, no intraoperatório, encontra-se extensa infiltração mesentérica.
Dessa forma, qual conduta deve ser priorizada?
Provas
Questão presente nas seguintes provas
Sobre o manejo cirúrgico do câncer de cólon, assinale a
alternativa correta.
Provas
Questão presente nas seguintes provas
Homem de 22 anos, vítima de ferimento penetrante por
arma branca em região cervical, zona II, ocorrido há cerca
de 20 minutos. Evolui com sangramento volumoso pelo
orifício do trauma, sem controle com compressão manual
externa. Encontra-se consciente, verbalizando estar com
muita tontura, descorado, taquicárdico (FC: 120 bpm) e
hipotenso (PA: 80 x 40 mmHg).
Qual deve ser a conduta imediata mais adequada nesse caso?
Qual deve ser a conduta imediata mais adequada nesse caso?
Provas
Questão presente nas seguintes provas
Homem de 53 anos, etilista crônico, com história de pancreatite crônica, apresenta agudização do quadro, e é
internado para tratamento clínico. Algumas semanas
após a alta, retorna ao pronto-socorro com episódio de
hematêmese volumosa. A endoscopia digestiva alta evidencia varizes gástricas isoladas.
A complicação relacionada ao quadro pancreático que originou essa manifestação e a conduta definitiva para o quadro são, respectivamente:
A complicação relacionada ao quadro pancreático que originou essa manifestação e a conduta definitiva para o quadro são, respectivamente:
Provas
Questão presente nas seguintes provas
Cadernos
Caderno Container