Foram encontradas 671 questões.
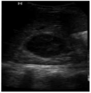
Uma mulher de 17 anos, gestação de 20 semanas, com febre (37,8ºC) foi encaminhada para realização de exame de ultrassonografia renal. O EAS mostrava piúria (20 a 30/campo). A paciente já se encontrava em tratamento com cefalexina, 500 mg VO, três vezes ao dia, que foi mantido por 14 dias. Segue USG realizada:

Corte longitudinal ecográfico do rim direito, mostrando
uma lesão hipecoica bem definida, medindo 48,0mm
Fonte: Vol. 10 • 14ª Edição • março DE 2011 | rbus 21
Qual diagnóstico para paciente atendida:
Provas
Ana comparece à consulta de puericultura com sua filha de 5 meses. A criança evolui com bom crescimento e desenvolvimento neuropsicomotor adequados para idade. No momento, em aleitamento materno exclusivo. A mãe está preocupada devido retorno ao trabalho na próxima semana, e não sabe como dar seguimento à alimentação da filha. Qual orientação adequada para essa mãe?
Provas
São indicações do uso da metodologia Doppler em ginecologia e obstetrícia, EXCETO:
Provas
A trombose venosa profunda (TVP) caracteriza-se pela formação de trombos dentro de veias profundas, com obstrução parcial ou oclusão, sendo mais comum nos membros inferiores – em 80 a 95% dos casos. O Eco Doppler Colorido (EDC) venoso é o método diagnóstico mais frequentemente utilizado para o diagnóstico de TVP em pacientes sintomáticos. Sobre esse método assinale a alternativa CORRETA:
Provas
Letícia, médica de família da comunidade do jacarezinho, está iniciando um projeto de orientação materna sobre o aleitamento materno. Durante uma roda de conversa foi questionada por uma mãe sobre até quando ela precisa manter o bebê somente no seio materno. De acordo com as recomendações da OMS, qual a resposta adequada ao questionamento?
Provas
“Em um plantão de Pronto Socorro, deu entrada paciente do sexo feminino evoluindo com dor intensa em fossa ilíaca direita de início súbito a cerca de 4 horas. Refere náuseas persistentes e não sabe relatar sobre o ciclo menstrual, mas nega febre. Diurese presente e sem queixas, flatos normais. Tem histórico de constipação crônica”
Quais hipóteses diagnósticas podem ser levantadas nesse caso:
Provas
Paciente do sexo feminino, deu entrada ao atendimento no PS com dor abdominal intensa. Solicitada US de abdome total com urgência, apresentando seguintes achado: Massa anexial à direita com presença de grande quantidade de líquido anecóico livre na cavidade abdominal. Com exame em mãos o diagnóstico provável é:
Provas
- SUSLei 8.080/1990: Lei Orgânica da SaúdeSistema Único de SaúdeArts. 8º ao 14-B: Organização, Direção e Gestão
Quais as características das Redes de Atenção à Saúde?
Provas
Para receberem os recursos de cobertura das ações e serviços de saúde a serem implementados, os Municípios, os Estados e o Distrito Federal deverão possuir com alguns requesitos e setores para devido recebimento, dentre eles, a Comissão de elaboração do Plano de Carreira, Cargos e Salários (PCCS). Quanto ao prazo previsto para a implantação da referida Comissão é correto afirmar que:
Provas
O conjunto dos componentes da Vigilância em Saúde direcionam campos sob os quais a equipe deve orientar o planejamento das ações de saúde. A organização dos processos de trabalho, com base nas diretrizes da vigilância em saúde visam:
Provas
Caderno Container