Foram encontradas 40 questões.
Considerando os achados em exames pulmonares, assinale a alternativa em que a relação entre o ruído adventício pulmonar ou pleural e sua respectiva causa está INCORRETA.
Provas
A relação entre educação e saúde no SUS tem sido compreendida como dimensão estratégica para a qualificação das práticas profissionais e para o fortalecimento da participação social. Nesse contexto, diferentes abordagens pedagógicas orientam os processos formativos em saúde. Assinale a alternativa que indica uma perspectiva coerente com a articulação entre ensino e práticas de saúde no SUS.
Provas
Sobre a síndrome metabólica em crianças e adolescentes, assinale a alternativa INCORRETA.
Provas
Um paciente apresenta quadro subagudo de confusão mental, ataxia e oftalmoparesia. Suspeita-se de encefalopatia de Wernicke. Qual exame laboratorial é mais útil para apoiar o diagnóstico e orientar o tratamento?
Provas
Uma mulher de 72 anos apresenta cefaleia de início recente, localizada em região temporal, associada à sensibilidade no couro cabeludo, fadiga e dor ao mastigar. Ao exame, observa-se artéria temporal espessada e dolorosa à palpação. Qual exame laboratorial é mais útil para apoiar o diagnóstico?
Provas
Uma mulher de 52 anos, previamente hígida, apresenta início súbito de cefaleia intensa, descrita como "a pior dor de cabeça da vida", enquanto realizava atividade física. Evolui com náuseas, vômitos e rigidez da nuca. Ao exame, encontra-se consciente, porém com fotofobia importante. Qual é a hipótese diagnóstica mais provável?
Provas
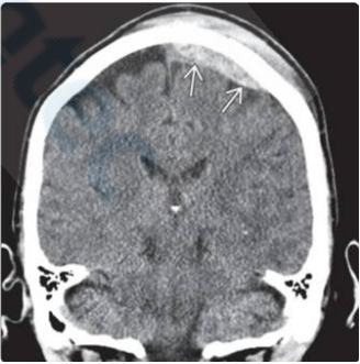
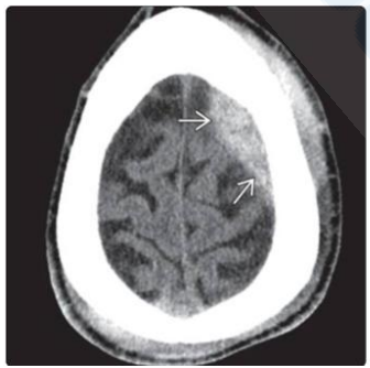
No traumatismo cranioencefálico, a correta identificação das lesões estruturais é de suma importância para determinar o tratamento a ser empregado. Considerando esse fator, analise a Figura 2 abaixo:

Figura 2
Considerando um desvio da linha média de 6 mm e sem lesões >25 mL, assinale a alternativa correta sobre a classificação de Marshall apresentada no exame e sua definição.
Provas
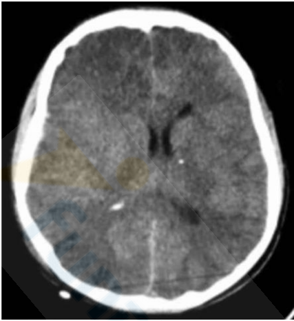
Com base na Figura 1 abaixo, assinale a alternativa que indica a lesão apresentada na tomografia.

Figura 1
Provas
Uma paciente de 52 anos com diagnóstico de carcinoma de mama HER-2 positivo há 3 anos é encaminhada ao neurocirurgião após detecção de lesão cerebral em exame de ressonância magnética de controle. Apresenta cefaleia leve há 2 meses, sem déficits neurológicos. A RM de encéfalo com contraste demonstra lesão única em hemisfério cerebral direito, parietal posterior, medindo 2,8 cm de diâmetro máximo, com captação anelar de contraste e edema perilesional moderado. Não há outras lesões intracranianas. A investigação sistêmica (TC de tórax, abdome e pelve, PET-scan e cintilografia óssea) não demonstra doença extracraniana ativa. O índice de Karnofsky é 90. A biópsia da lesão primária há 3 anos confirmou carcinoma ductal invasivo HER-2 positivo. Considerando as evidências atuais sobre o manejo cirúrgico de metástases cerebrais, assinale a alternativa correta.
Provas
Um paciente de 32 anos é admitido no pronto-socorro com quadro de febre alta (39,2 °C), cefaleia intensa há 4 dias e rigidez de nuca. Há relato de sinusite frontal crônica em tratamento irregular. Nas últimas 24 horas, desenvolveu hemiparesia à esquerda e apresentou duas crises convulsivas focais. Ao exame, encontra-se sonolento, com meningismo e Glasgow 13. A ressonância magnética cerebral com contraste demonstra coleção subdural no hemisfério direito, com realce intenso da membrana medial e deslocamento medial da interface córtico-subcortical, além de sinais de sinusite frontal ativa. Considerando o diagnóstico mais provável e as evidências atuais sobre o manejo dessa condição, assinale a alternativa correta.
Provas
Caderno Container