Foram encontradas 502 questões.
Qual é o nome da hérnia de parede abdominal demonstrada no desenho esquemático (corte axial) abaixo?
Estruturas identificadas:
1- fáscia transversalis abaixo do m. reto abdominal
2- aponeurose do m. oblíquo externo
3- m. oblíquo externo
4- m. oblíquo interno
5- m. transverso

Provas
Paciente de 70 anos, tabagista e DPOC, é submetido a gastrectomia subtotal com linfadenectomia DII, por laparotomia mediana. Na anamnese referiu histórico de sangramento digestivo e perda de peso de 10 kg. O procedimento não apresentou intercorrência e o paciente permaneceu estável durante o procedimento. A respeito do fechamento ideal da parede abdominal deste paciente, podemos afirmar que:
Provas
Mulher, 63 anos de idade, foi atendida no pronto socorro de cirurgia com queixa de dor abdominal tipo cólica, de forte intensidade, associada a parada de eliminação de fezes e flatos, há 2 dias. Relatava episódios de vômitos nas últimas 12 horas.
A paciente relatava que há três meses sentia esporadicamente cólicas. Negava perda de peso. Referia ser previamente hígida e sem histórico de cirurgias anteriores.
Ao exame físico, encontrava-se em bom estado geral. O exame abdominal demonstrava grande distensão e hipertimpantismo, com dor difusa à palpação, porém sem sinais de peritonismo.
Foi optada pela realização de tomografias de tórax, abdome e pelve, que revelaram lesão expansiva em sigmoide com invasão evidente de útero e distensão de cólon e alças de delgado à montante e linfonodomegalias suspeitas pericólicas. Não havia sinais suspeitos de disseminação peritoneal, hepática ou pulmonar.
Indicada laparotomia exploradora, confirmada lesão tumoral em sigmoide aderida ao útero. Sem achados de implantes peritoneais ou metástases hepáticas.
Em relação à condução do caso, após as medidas de suporte iniciais, assinale a única alternativa correta:
Provas
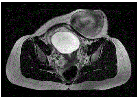
Mulher, 27 anos de idade, apresentou quadro de dor, com aumento progressivo de intensidade, e abaulamento em abdome inferior cerca de 3 meses após operação cesariana para parto do primeiro filho.
Ao exame físico, apresentava tumor de consistência pétrea em proximidade de cicatriz de incisão de Pfannenstiel, dolorosa, fixa, de cerca de 10 cm de diâmetro.
Realizada a seguinte ressonância:

Foi realizada biópsia através de punção por agulha grossa cujo exame anatomopatológico mostrou tratar-se de fibromatose do tipo desmoide.
Sobre o caso em questão, assinale a única alternativa correta:
Provas
Homem, 57 anos de idade, apresentava lesão hiperpigmentada de 3 cm em dorso do pé direito. Após realização de biópsia excisional da lesão, o exame anatomopatológico revelou tratar-se de melanoma nodular com Breslow de 3,9 mm, nível de Clark IV, presença de ulceração, 3 mitoses/mm², margens cirúrgicas livres (a menor distando 1,3 mm da lesão).
Ao exame físico, além da cicatriz em dorso do pé direito, o paciente apresenta linfonodomegalia inguinal direita, endurecida, móvel, com cerca de 2 cm de diâmetro.
Tomografias de tórax, abdome e pelve revelaram apenas a presença da referida linfonodomegalia, suspeita para acometimento secundário, sem outros achados.
Sobre o caso em questão, deve-se considerar, como única alternativa correta:
Provas
FCM, 62 anos, no 5º PO de colectomia subtotal com anastomose primária por abdome agudo obstrutivo decorrente de neoplasia de cólon. Antecedente pessoal de hipertensão arterial sistêmica. Você é chamado para avaliar o paciente.
Ao exame físico:
Sonolento, desperta ao estímulo tátil, confuso, pouco colaborativo com o exame clínico.
Taquidispneico, frequência respiratória de 40 incursões por minuto com uso de musculatura acessória, saturação de O2 de 92% com máscara do tipo Venturi e fração inspirada de oxigênio de 50%. Ausculta limpa bilateralmente.
Pressão Arterial 80 x 40 mmHg, FC 110 bpm, abdome distendido, sem sinais de irritação peritoneal. Não há retenção vesical palpável.
Temperatura axilar de 37,8º C, sem diurese nas últimas 12h.
Radiografia de tórax sem infiltrados.
Laboratório revela acidose mista, leucocitose e piora significativa da função renal.
Equipe médica decide solicitar Tomografia (TC) de tórax e abdome para investigação do quadro em questão.
Cite condutas prioritárias antes do paciente ser encaminhado à TC.
Provas
BAR, 33 anos, 1,72 m, peso estimado 70 kg, vítima de acidente de moto versus anteparo fixo, com trauma de crânio, contusão pulmonar e trauma de extremidades. Foi submetido a drenagem de hematoma subdural e craniectomia descompressiva. Evoluiu com hipertensão intracraniana refratária a despeito de todas as medidas cabíveis.
No 4º dia de internação na UTI apresenta ao exame físico:
Sedação com midazolam 20mg/h, fentanil 25mcg/h, pupilas médio-fixas, Escala de coma de Glasgow 3.
Intubado, FiO2 de 60%, modo volume controlado, volume corrente de 700 ml, FR de 20 ipm, Pressão Expiratória Final de 5 cmH2O, saturação de oxigênio de 86%. RX tórax mostra infiltrado pulmonar difuso, bilateral, sem derrame pleural.
Pressão arterial de 70x30mmHg, frequência cardíaca de 70 bpm. Noradrenalina 0,5 mcg/kg/min.
Diurese de 6000 ml nas últimas 12h. potássio de 4,1 mEq/L, sódio de 151meq/L.
Temperatura Retal de 36,5º C.
Valores de referência: potássio 3,5 a 4,5 mEq/L, sódio 136 a 145 mEq/L.
Foram realizados exames complementares, incluindo tomografia de crânio com contraste, que mostrou grande inchaço dos hemisférios e ausência de perfusão sanguínea cerebral.
Cite condutas imediatas apropriadas para essa situação:
Provas
EUM, 61 anos, vítima de queda de 6 metros de altura, com trauma de crânio exclusivo. Foi submetido à monitorização invasiva de pressão intracraniana (PIC) intraventricular. No 3º dia de internação na UTI apresenta as seguintes condições:
Intubado, recebendo fentanil 25mcg/min, abre os olhos ao estímulo verbal e localiza estímulo doloroso, pupilas isocóricas e fotorreagentes. Pressão intracraniana mantida em 40 mmHg com padrão da curva de pressão intracraniana com P2 > P1.
Saturação de O2 de 95% com fração inspirada de O2 de 25%, Pressão Arterial média (PAM) de 66 mmHg, FC 112 bpm, em uso de noradrenalina na dose de 0,02 mcg/kg/min.
Temperatura retal de 38,1°C.
Exames laboratoriais: hemoglobina 10,1 g/dL; plaquetas 190.000 por mm3; leucócitos de 9.500 por mm3 sem desvio; creatinina 0,9 mg/dL; potássio de 4,1 mEq/L; sódio de 134 mEq/L; gasometria com pH de 7, 31, bicarbonato de 25 mmol/L, pO2 de 84 mmHg e pCO2 de 50 mmHg.
Valores de Referência: hemoglobina: 12,0 a 15,5 g/dL; plaquetas: 150.000 a 450.000/mm3; leucócitos 3.500 a 10.500 por mm3; creatinina 0,60 a 1,10 mg/dL; potássio 3,5 a 4,5 mEq/L; sódio 136 a 145 mEq/L; pH 7,35 a 7,45; bicarbonato 22 a 26 mmol/L; pO2 80 a 100 mmHg; pCO2 35 a 45 mmHg.
Assinale a alternativa com condutas em ordem de prioridade para o quadro desse paciente, em relação ao controle da pressão intracraniana:
Provas
RRP, 29 anos, 1,60 m, peso estimado de 50 kg. Vítima de atropelamento com trauma de crânio, trauma torácico com fraturas do 2° ao 8° arcos costais à esquerda, fratura do 3º e 4º arcos costais à direita, contusão pulmonar bilateral associada. Submetido a craniotomia para drenagem de hematoma subdural volumoso pela equipe de neurocirurgia.
No 3° dia de UTI, você é chamado para avaliar essa paciente devido a piora do quadro respiratório. A paciente encontra-se ainda com intubação orotraqueal e ventilação mecânica em modo de pressão controlada, sem sedação, inquieta, efetuando duplo disparo no ventilador mecânico.
Frequência respiratória de 45 incursões por minuto, ausculta com estertores difusos, movimento paradoxal do hemitórax esquerdo, SatO2 90% com fração inspirada de oxigênio de 50%, volume corrente de 800 mL, Pressão Expiratória Final (PEEP) de 8 cmH2O. Há mínima quantidade de secreção traqueal, fluida e clara.
Hemodinamicamente estável.
Afebril, exames laboratoriais sem alterações.
Rx Tórax com infiltrado difuso bilateral, pior em relação aos últimos dias. Seios costofrênicos livres.
O ecocardiograma realizado à beira leito está sem alterações.
Cite a alternativa com as condutas mais apropriadas para esse momento.
Provas
LMJ, 36 anos, vítima de atropelamento por carro em via de alta velocidade deu entrada no Pronto-Socorro trazida pelo resgate aéreo. Recebeu 2L de cristaloides na cena. Na avaliação primária destaca-se:
A - Intubação orotraqueal realizada na cena, colar cervical e prancha rígida.
B - Murmúrio vesicular presente bilateralmente, SatO2 96%.
C - FC 140pbm, PA 70x40mmHg, pelve estável, esfíncter normotônico, diurese escura após sondagem vesical, FAST positivo.
D - Sonolento, abre os olhos ao comando verbal, responde ordens simples, impossibilidade de verbalizar devido a intubação. Pupilas isocóricas e fotorreagentes.
E - Ferimento corto-contuso em membro inferior direito.
Assinale a alternativa com as condutas mais adequadas para esse paciente:
Provas
Caderno Container