Magna Concursos

Foram encontradas 1.210 questões.

1991513 Ano: 2020
Disciplina: Medicina
Banca: UFPR
Orgão: HC-UFPR

Paciente de 55 anos, sexo masculino, com cirrose por álcool compensada, sem comorbidades, realizou endoscopia digestiva alta, com descrição de varizes de esôfago de grosso calibre com sinais de cor vermelha. Baseado nas diretrizes e informações do Consenso de Baveno VI, é correto afirmar:

 

Provas

Questão presente nas seguintes provas
1991512 Ano: 2020
Disciplina: Medicina
Banca: UFPR
Orgão: HC-UFPR

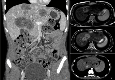
Paciente de 32 anos, sexo feminino, procurou o pronto-socorro por fraqueza, febre vespertina de até 39 ºC e dor em hipocôndrio direito há 4 semanas. Retornou da viagem de 1 semana ao Pará (proximidades de Santarém) 2 dias antes dos sintomas iniciarem. Exame físico: bom estado geral; anictérica; febril; hidratada; auscultas cardíaca e pulmonar normais; abdome doloroso à palpação em hipocôndrio direito; fígado palpável a 3 cm do rebordo costal direito; baço não palpável; algumas lesões de pele nas pernas. Exames laboratoriais: hemoglobina 11,9 g/dL; leucócitos 19.000/mm3; TGO 45UI/L; TGP 38UI/L; fosfatase alcalina 304 UI/L; gama-glutamiltransferase 268 UI/L; proteína C reativa 135. Tomografia computadorizada de abdômen apresentando a imagem a seguir:

Enunciado 1991512-1

Em relação ao caso, além de coletar hemoculturas, a conduta adequada é:

 

Provas

Questão presente nas seguintes provas
1991511 Ano: 2020
Disciplina: Medicina
Banca: UFPR
Orgão: HC-UFPR

Paciente de 65 anos, sexo feminino, interna na enfermaria da Medicina Interna para investigação de aumento de volume abdominal iniciado há 7 meses associado à queda do estado geral e emagrecimento de 13 kg no período. Apresenta diabetes tipo 2 e dislipidemia, em uso domiciliar de insulina glargina, empaglifozina e pitavastatina. Nega uso de álcool. Exame físico: descorada +/4+; emagrecida; orientada; anictérica; afebril; abdome globoso, ascítico, com piparote presente; edema de membros inferiores ++/4+. Exames laboratoriais: hemoglobina 10,7 g/dL; plaquetas 196.000/!$ mm^3 !$; creatinina 0,9 mg/dL; glicemia 171 mg/dL; bilirrubinas totais 0,9 mg/dL; albumina 3,1 g/dL, RNI 1,2. Realizado punção do líquido ascítico: leucócitos 252 /!$ mm^3 !$ (92% de linfócitos); proteínas 3,9 g/dL; albumina 2,9 g/dL. Diante desse caso, é correto afirmar que a paciente apresenta:

 

Provas

Questão presente nas seguintes provas
1991510 Ano: 2020
Disciplina: Medicina
Banca: UFPR
Orgão: HC-UFPR

No ambulatório de hepatologia, o médico assistente solicita ao residente que encaminhe o paciente com cirrose para inclusão em lista de transplante hepático. Os parâmetros utilizados na classificação de MELD (Model for End stage Liver Disease) para alocação em lista de transplante de fígado são:

 

Provas

Questão presente nas seguintes provas
1991509 Ano: 2020
Disciplina: Medicina
Banca: UFPR
Orgão: HC-UFPR

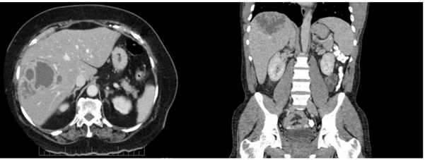
Paciente de 45 anos, sexo masculino, conta história de dificuldade de evacuar completamente e necessidade de tentar evacuar quatro a cinco vezes ao dia, em pequena quantidade, sem sangue, muco ou alteração no formato das fezes, há cerca de um mês e meio. Há 10 dias, iniciou dor abdominal difusa em cólica e alguns episódios de vômitos. Perdeu 5 kg no último mês. Refere ser constipado de longa data. Nega doenças prévias. É tabagista ativo (40 anos-maço). Exame físico: estado geral preservado, descorado (++/4), anictérico, afebril. Palpação do abdômen: fígado palpável a 14 cm do rebordo costal direito e 9 cm do rebordo costal esquerdo, endurecido e aparentemente irregular; baço não palpável. Exames laboratoriais: hemoglobina 10,1 g/L; TGO 58 UI/L; TGP 52 UI/L; fosfatase alcalina 287 UI/L, gama GT 274 UI/L; bilirrubina: total 1,4 mg/d; indireta 0,5 mg/dL e direta 0,9mg/d, RNI 1,42. Tomografia computadorizada de abdômen com imagem abaixo.

Enunciado 1991509-1

Em relação a esse paciente, a hipótese diagnóstica e a conduta são, respectivamente:

 

Provas

Questão presente nas seguintes provas
1991508 Ano: 2020
Disciplina: Medicina
Banca: UFPR
Orgão: HC-UFPR

Paciente de 64 anos, sexo feminino, vem ao consultório com queixa de diarreia há 14 meses, com piora progressiva nos últimos 50 dias. Refere entre 8 e 11 episódios por dia, com fezes líquidas, sem sangue ou muco. Refere alguns eventos nos quais sua face fica muito avermelhada, acompanhados de tontura e “quase desmaio”. Num desses episódios, teria ido a um hospital, onde foi constatado que ela estava com “pressão baixa”. Tem antecedente de hipertensão bem controlada com losartana 50 mg isoladamente. Nega outras doenças. Nega tabagismo, etilismo ou drogadição. Exame físico: corada, eupneica e em bom estado geral e nutricional. Ausculta pulmonar normal, ausculta cardíaca com sopro diastólico em foco tricúspide. Exame abdominal com ruídos hidroaéreos aumentados, sem outras alterações. Os exames complementares para confirmar o diagnóstico são:

 

Provas

Questão presente nas seguintes provas
1991507 Ano: 2020
Disciplina: Medicina
Banca: UFPR
Orgão: HC-UFPR

Paciente de 49 anos, sexo feminino, em acompanhamento regular por doença de Crohn há 8 anos, em uso adalimubabe há 21 meses. Antes da última avaliação, realizou rastreio para tuberculose latente, com resultado de teste intradérmico (PPD) de 12 mm, tendo feito uso de isoniazida por 6 meses. Há 3 semanas, iniciou quadro de tosse produtiva, febre vespertina e sudorese noturna. Investigação resultou positividade em escarro para bacilo álcool ácido resistente. A conduta diante do quadro dessa paciente é:

 

Provas

Questão presente nas seguintes provas
1991506 Ano: 2020
Disciplina: Medicina
Banca: UFPR
Orgão: HC-UFPR

Paciente com cirrose por hepatite C, genótipo 3, Child-Pugh A, vem à consulta para realizar novo tratamento da hepatite C. Fez uso de sofosbuvir + daclatasvir + ribavirina por 12 semanas sem sucesso. Não apresenta outras comorbidades. Segundo o protocolo do Ministério da Saúde do Brasil, qual é a opção terapêutica adequada nesse caso?

 

Provas

Questão presente nas seguintes provas
1991505 Ano: 2020
Disciplina: Medicina
Banca: UFPR
Orgão: HC-UFPR

Paciente de 54 anos, sexo masculino, portador de cirrose por vírus da hepatite C + álcool, procura a emergência do hospital com dor abdominal, febre, astenia e queda do estado geral. Em uso domiciliar diário de furosemida 60 mg, espironolactona 200 mg e lactulona 10 mL 3x ao dia. Exames séricos realizados no pronto-socorro: hemoglobina 10,1 g/dL (normal: 12-16 g/dL), leucócitos 18.050/!$ mm^3 !$ (normal: 4.200-10.200/!$ mm^3 !$), plaquetas 66.000/!$ mm^3 !$ (normal: 150.000-450.000/!$ mm^3 !$), ureia 92 mg/dL (normal: 16-40 mg/dL), creatinina: 2,8 mg/dL (normal: 0,6-1,2 g/dL) [resultado da creatinina da semana anterior de 1,3 mg/dL], sódio 131 mEq/L (normal: 135-145 mEq/L), potássio 3,6 mEq/L (normal: 3,5-5,0 mEq/L), bilirrubinas totais: 2,3 mg/dL (normal: 0,2-1,1 mg/dL), albumina 3,1 g/dL (normal:3,5-4,7 g/dL), RNI 1,5 (normal: 0,8-1,0), lactato desidrogenase: 168 UI/L (normal: 115-225 UI/L).

De acordo com a classificação de ICA-AKI (International Club of Ascites – Acute Kidney Injury) de 2015, o estadiamento da lesão renal aguda desse paciente é:

 

Provas

Questão presente nas seguintes provas
1991504 Ano: 2020
Disciplina: Medicina
Banca: UFPR
Orgão: HC-UFPR

Paciente de 57 anos, sexo feminino, portadora de cirrose por álcool, abstêmia há 11 meses, aguardando avaliação de inclusão em lista de transplante hepático, procura o pronto-socorro com dor abdominal e febre. Realizado punção do líquido ascítico com os seguintes resultados: leucócitos: 6.230/!$ mm^{^3} !$, eutrófilos: 6.039/!$ mm^{^3} !$, proteína: 1,0 g/dL, albumina: 0,4 g/dL, glicose: 92 mg/dL, lactato desidrogenase: 117 UI/L, cultura: em andamento. O diagnóstico e a conduta adequados nesse momento são, respectivamente:

 

Provas

Questão presente nas seguintes provas