Foram encontradas 1.460 questões.
Durante o desenvolvimento embrionário, muitas células produzidas em excesso são levadas à morte, o que contribui para a formação dos órgãos e dos tecidos. Esse processo
Provas

D. O. Morgan. Annu. Rev. Cell. Dev. Biol. 13:261, 1997.
O ciclo celular é controlado por proteínas que incluem as ciclinas
Provas

B. Alberts, et al. Molecular biology of the cell. 4 ed. New York: Garland, 2002.
Em relação às informações contidas na figura acima, assinale a opção correta.
Provas
A evolução dos organismos multicelulares exigiu o desenvolvimento de mecanismos para coordenar precisamente as atividades das diferentes células. Para isso, as células enviam sinais que devem ser reconhecidos por outras células e resultem em respostas específicas. Com relação a esse assunto, assinale a opção correta.
Provas
Com relação à biologia tecidual, assinale a opção correta.
Provas
Acerca das patologias celular e tecidual, assinale a opção correta.
Provas

Internet:<acd.ufrj.br>.
Na figura acima, que ilustra uma secção de um cerebelo, a região assinalada é constituída, predominantemente, de células da neuróglia e de
Provas
Com relação à histofisiologia do tecido muscular, assinale a opção correta.
Provas

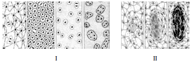
José Carneiro e L. C. Junqueira.
Histologia básica. Ed. Guanabara Koogan, 2004.
As figuras I e II acima ilustram a histogênese de dois tipos de tecidos biológicos, que se originam do
Provas

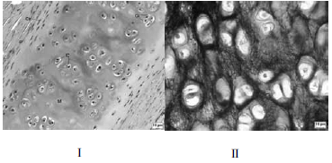
Internet: <www.pucrs.br>.
Com relação à matriz extracelular dos tecidos ilustrados nas figuras I e II acima, assinale a opção correta.
Provas
Caderno Container